随着人口老龄化、空气环境污染的加剧,低剂量螺旋CT越来越多的应用于健康体检。肺部微小结节的发现成倍增加。出于对肺癌的恐惧,患者常出现严重的恐慌和焦虑。同时,准确判断肺部微小结节良、恶性,也是对胸科医生的严峻考验。否则,容易造成漏诊延误病情或过诊带来过度的治疗。

实施案例
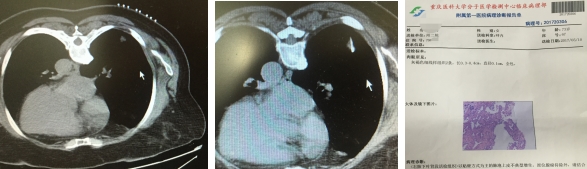
患者xxx,女,71岁,重庆潼南人,院外体检发现右下肺5*5mm大小的孤立结节影。辗转多家医院来我院呼吸科就诊,以求明确诊断。呼吸科李长毅副主任为首的治疗小组,于2017年5月9日,在CT引导下成功精准穿刺活检,最后病理考虑原位腺癌可能,已经转胸外科手术治疗。患者非常幸运,在原位癌极早期明确诊断,并手术切除,可以达到治愈的效果。
呼吸内科作为国家临床重点专科,在近两年积极面对肺部微小结节多发的严峻形式。创新开展肺部微小结节的精准穿刺活检术,取得长足进步。1cm以下肺部微小结节已经作为常规穿刺(国内有报道的穿刺微小结节最小3.2mm,我科最小结节4mm),成功诊断多起早癌、甚至原位癌。在业界获得强烈的反响,充分体现了国家临床重点专科水平。
服务热线
服务热线
版权所有: 重庆医科大学附属第二医院 | Copyright @ 2016-2026 CQSAHCQMU.CN All Right Reserved. 渝ICP备15009793号-10 渝公网安备 50010302000990号
技术支持:瑞秀科技
