常规开展膝、肩、踝、肘关节镜手术,治疗:膝关节半月板损伤、交叉韧带损伤、慢性滑膜炎、冻结肩(肩周炎)、钙化性肌腱炎、肩袖损伤、肩关节撞击征、复发性肩关节脱位等。


肩关节镜手术 肩袖损伤修复术前

膝关节镜下前交叉韧带重建术 肩袖损伤修复术后
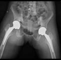
常规开展膝、髋、肩、肘关节置换及翻修手术,并开展单髁置换、胫骨高位截骨术等。治疗各类关节创伤及疾病,如股骨头缺血坏死,膝关节老年性骨性关节炎、类风湿关节炎,股骨颈骨折,股骨转子间骨折。




双侧强直髋术前/术后

膝关节单髁置换术

服务热线
服务热线
版权所有: 重庆医科大学附属第二医院 | Copyright @ 2016-2026 CQSAHCQMU.CN All Right Reserved. 渝ICP备15009793号-10 渝公网安备 50010302000990号
技术支持:瑞秀科技
