在所有癌症中,肺癌发病率、死亡率长期占据我国乃至世界第一。近年来,随着精准医疗的发展,靶向治疗成为最常用的肺癌治疗方案之一。然而,同为肺癌,因其突变的驱动基因不同,治疗方案也不尽相同。特别是一些罕见基因突变患者,由于诊断较难、治疗药物有限,其就医难度更高、耗时更长,生存期也可能会受到影响。
7月24日,重庆医科大学附属第二医院肿瘤中心杨镇洲教授带领团队在国际权威学术期刊《Angiogenesis》(影响因子IF=9.596)发表研究论文“贝伐珠单抗联合化疗成功治疗ALK/EGFR双突变伴PD-L1强阳性的肺腺癌”。该研究首次报道了关于ALK/EGFR双突变伴PD-L1强阳性肺腺癌的治疗探索:通过基因分子诊断,制定规范化、个体化、精准化的诊疗方案,最终让患者的肿瘤获得了显著缓解。其治疗模式得到国际公认,更对该类罕见基因突变肺癌的治疗产生了全新的影响。

24岁女性患晚期肺癌伴全身多发转移
如何实现个体化精准治疗?
据了解,论文“贝伐珠单抗联合化疗成功治疗ALK/EGFR双突变伴PD-L1强阳性的肺腺癌”(Successful management of lung adenocarcinoma with ALK/EGFR co-alterations and PD-L1 over-expression by bevacizumab combined with chemotherapy)共同作者为何恒秋、杨文娣、黄玉胜、张晓月、彭媛,通讯作者为杨镇洲教授。该项研究的报道对象王女士(化名)年龄仅24岁,平素身体健康,且并无吸烟史和肿瘤家族史。2020年3月,患者因刺激性干咳2月余,于重医附二院就诊,深入检查后被确诊为:肺癌晚期伴两肺、纵隔淋巴结、双侧肾上腺、胰腺、多发骨转移。
杨镇洲教授介绍,目前肺癌的综合治疗主要以手术、化疗、放疗、靶向治疗及免疫治疗为主,但上述治疗如何进行排兵布阵,以充分实现患者个体化治疗,最大幅度提高患者的生存期仍是临床诊疗过程中的重点及难点。为了给予王女士更加精准科学的治疗方案,杨镇洲教授团队为患者进行了基因检测,明确驱动基因类型,再进行后续的精准治疗。
多重技术评估治疗方案
突破双驱动基因突变患者治疗难题
肺癌常见的突变基因有EGFR、ALK等,随着基因检测技术的发展,越来越多突变频率较低的肺癌驱动基因被发现,它们的发生率往往不足3%,有的甚至不到1%,故称之为“罕见靶点突变”。它们虽然整体比例较小,但由于肺癌人群基数较大,罕见突变的患者群体也有相当规模。
患者王女士基因检测提示,她同时具有ALK及EGFR基因突变,且PD-L1呈强阳性表达。ALK与EGFR双驱动基因突变在肺癌中便是一类罕见的分子事件,发生率仅约0.3%~15%。
根据目前国内外指南推荐,对于驱动基因阳性的肺癌患者,应首选靶向治疗。但双驱动基因突变患者的靶向治疗选择一直存在较大争议,且多项研究表明PD-L1强阳性可能预示着靶向治疗疗效欠佳,靶向治疗还能顺利进行吗?如何为患者选择更合适的治疗方式?目前,尚无指南以及相关报道作为借鉴。
为解决这些难题,杨镇洲教授及团队利用肿瘤分子诊断技术、多重荧光免疫组化及驱动基因下游活化信号通路检测等技术,对靶向治疗、免疫治疗及抗血管生成治疗等治疗方案的多个相关预测因素进行充分评估,综合为患者拟定了精准的靶向治疗方案。
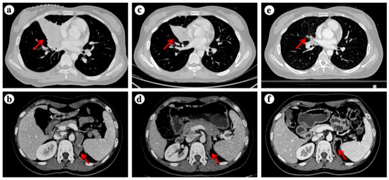
根据事先制定好的治疗方案,杨镇洲教授团队先后为患者进行化疗联合抗血管生成治疗、放疗、靶向治疗等,并定期做疗效评估以随时调整治疗方案。2020年5月第一次疗效评估:患者右肺中叶病灶较前缩小(由约54×42mm,缩小至约44×31mm),转移病灶均较前缩小,咳嗽显著缓解;2020年8月再次复查:右肺中叶病灶较前进一步缩小(大小约12×11mm),转移病灶也有不同程度缩减;胸部病灶放疗结束后,2020年10月复查提示原发灶及转移灶稳定,疗效评估为疾病稳定。
分子诊断助力规范诊治
实现肿瘤个体化精准狙击
杨镇洲教授为患者王女士制定的精准化个体综合治疗使患者肿瘤病灶显著缩小(如下图),规律随访至今,疾病仍处于稳定状态。这充分说明基于分子诊断的个体化治疗及多学科讨论,可为有罕见基因突变分子事件的患者提供最佳诊疗方案。

近年来,在学科带头人杨镇洲教授的带领下,经过多年临床研究的沉淀,肿瘤中心团队在肺癌发生发展及诊疗探索、肿瘤放射防护领域不仅实现了科研成果的全面爆发,也以大量原创性成果持续为全民健康助力。据悉,今年一月,同样由该团队牵头的首个评估“全脑放疗(WBRT)同步厄洛替尼vs.单纯WBRT治疗NSCLC脑转移患者的有效性和安全性的III临床试验”在Neuro-Oncology杂志(IF=12.30)在线发表。本研究是继该研究之后该团队对具有ALK/EGFR双突变同时伴PD-L1强阳性罕见基因背景肺腺癌患者展开的治疗探索。
该团队的这些研究加深了临床医生对于ALK/EGFR双突变伴PD-L1强阳性肺腺癌的认识,并为该类患者的临床诊断和治疗提供了指导依据,给患者们的长期高质量生存带来了“新希望”。同时,也充分印证了基因分子诊断在肿瘤全程管理中的价值,将个体化医疗在临床应用中的发展提升到一个新的台阶。
医学科研的开展来源于临床实践,又最终服务于临床。重医附二院肿瘤中心坚持临床与科研、教学紧密结合、齐头并进,经过二十余年对肿瘤的潜心钻研,造就了以“精准放疗”为核心的临床一流学科。中心充分发挥精准放疗技术在肿瘤治疗中的优势作用,实现了肿瘤精准放疗科研与临床技术创新,肿瘤放射防护及综合治疗模式达到国内领先水平,已为众多肿瘤患者解除病痛。杨镇洲教授表示,未来,中心将持续不断探索肿瘤科学研究领域,为患者治疗方式提供更多选择,为患者改善预后带去更多的希望。
服务热线
服务热线
版权所有: 重庆医科大学附属第二医院 | Copyright @ 2016-2026 CQSAHCQMU.CN All Right Reserved. 渝ICP备15009793号-10 渝公网安备 50010302000990号
技术支持:瑞秀科技
