无托槽隐形矫治技术是隐形正畸中的领先技术,它一改传统正畸过程中“钢丝铁牙”的局面,能在无钢丝、无托槽的状态下完成矫治,让别人看不到你戴了牙套,不影响美观,可自行摘戴,在不知不觉中恢复正常牙齿形态。该技术集美观、舒适、方便、清洁四大优势于一身。无托槽隐形矫治技术是现代计算机辅助设计、快速成形技术和新材料完美结合的产物。
该技术可根据求美者的颌面形态开展个性化设计,通过计算机三维图像技术模拟牙齿移动后生产的每一副矫治器,在戴入后牙齿就会有受力感觉,并向矫治器设计的位置移动,通常每两周更换一副矫治器,牙齿就会从初始的畸形状态逐渐移动至正常排列状态,矫治时间长短取决于患者牙颌畸形的严重程度,一般需要半年到一年时间就能解决牙齿不齐等问题,该技术成为国内外爱美人士矫正牙齿的不二选择。

矫治医生:王胜国
矫治单位:重庆医科大学附属第二医院
患 者:蔡xx
性 别:男
年 龄:19岁
主 诉:要求隐形矫治牙齿前突、面型突
既往史:无面部外伤史
无全身严重疾病史
无过敏史
有正畸治疗史
家族史:否认家族中有类似患者
颜面检查

正面观:左右对称 均面型 闭唇唇肌紧张

侧面观: 双唇前突 鼻唇角偏小 颏唇沟较深

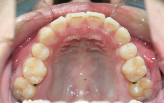
口内检查 :上下牙弓均为卵圆形 左右基本对称 上颌牙弓轻度拥挤 下颌缺失一颗下切牙

左右侧磨牙均为一类咬合关系,前牙深覆合、深覆盖。
功能检查:肌位与牙位一致,肌位靠前;ICP与RCP一致;开口度正常,开口型未见异常;无关节弹响及关节疼痛


X线检查 :18、28、38、48存在,下颌缺失一颗下切牙
诊断
安氏 Ⅰ类错he
骨型 Ⅰ类, 平均生长型
临床 前牙深覆合,深覆盖,后牙中性关系
上下前牙唇倾
双唇前突
下颌缺失1切牙
治疗方案
1拔除14,24和下颌中切牙;
2应用时代天使无托槽隐形矫治器进行矫治。
3排齐排平,内收上下前牙,改善上下颌前倾和前突面型,协调上下颌咬合,保持!
治疗方案动画





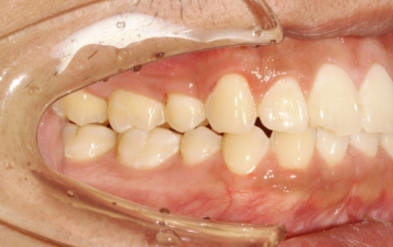
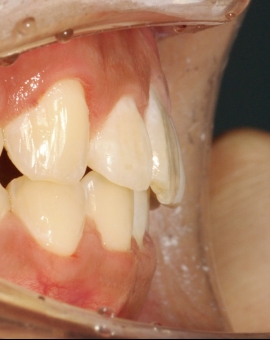
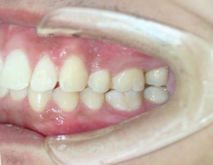
治疗预计效果和实际效果















治疗后








治疗前后对比


服务热线
服务热线
版权所有: 重庆医科大学附属第二医院 | Copyright @ 2016-2026 CQSAHCQMU.CN All Right Reserved. 渝ICP备15009793号-10 渝公网安备 50010302000990号
技术支持:瑞秀科技
