种植牙是一种缺牙的修复方法,也称为人工种植牙,它利用高度相容性的材料制成类似于牙根形状的植体,再将其植入缺牙区的骨质,通过制作安装植体上部的假牙冠而最终达到恢复缺失牙的外形和功能目的。种植牙已发展成为一项成熟、可靠、成功率高的新技术,并且随着人们口腔卫生保健意识的增强,大众对牙齿的要求越来越高,对种植牙的接受度不断提高,该技术在国内外已经逐渐成为病人和口腔医师乐于采用的一种常规修复缺牙方式。
传统的镶牙技术包括两大类:做活动假牙或固定假牙。活动假牙也叫活动义齿、可摘义齿,用挂钩固定在缺失牙旁边的余留牙齿上。固定假牙也叫固定义齿,一般是做烤瓷牙。
与传统固定活动义齿修复相比,种植牙因其不损伤周围牙、固位稳固、美观舒适等优点,逐渐成为很多牙齿缺失患者的选择,有人类“第三副牙齿”的美誉。人工种植牙具有六大突出优点:
1 、功能强:能很好地恢复牙齿功能,咀嚼功能大大优于其他传统假牙。
2 、不磨牙:依靠自身的人工牙根进行修复,不用磨旁边的健康牙齿,对牙齿没有任何伤害。
3 、固位好:不使用传统镶牙的卡环或牙套,人工牙根牙槽骨紧密结合,像真牙一样扎根在口腔里,具有很强的固位力与稳定性。
4 、美观:可以根据就诊者的脸型、其他牙齿的形状与颜色制作牙冠,达到整体协调和美观的最佳效果。
5 、舒适方便:不使用活动假牙必需的基托与卡环,没有异物感,非常舒适、方便,而且有利于保持口腔的清洁卫生。
6 、操作简单:种植牙手术是一个较小的牙槽外科手术,类似拔牙,采用局部麻醉,创伤小,术后即可进食,几乎无痛苦。一般种植体植入术只需要几十分钟至数小时即可以完成。由于选用的是与人体相容性极好的生物材料,种植牙对人体不产生任何不良的副作用。如果种植牙的骨结合失败,也就是种植牙没有成功,也可以取出以后待骨愈合再做种植,或者改用其他修复方法。
(一)什么是种植牙?
通过外科手术将人工牙根植入牙床内,经过一段愈合期后,人工牙根与牙槽骨发生骨结合,再在人工牙根上镶装义齿,修复缺失的牙齿。

(二)传统修复 Vs 种植修复
传统修复 | 种植修复 | |
固定修复 | 活动修复 | |
|
|
|
1·对口内相关健康邻牙牙体磨除量大,损伤不可逆;
| 1·体积大,有异物感,舒适感差; 2·仅能恢复天然牙30%左右的咀嚼功能; 3·使用寿命短,一般为5年左右就要更换; 4·持续佩戴会造成牙槽骨的进一步吸收。 | 优点: 1·能够最大限度地恢复患者的口腔功能; 4·舒适感好,没有没有味觉迟钝与不适感; 5·能保存牙槽骨,防止萎缩; 6·寿命长; 7·操作简单,创伤小,采用局麻,几乎无痛苦;
缺点: 费用高,治疗周期较长。
|
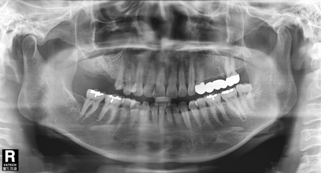
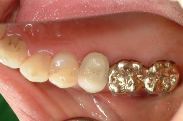
(三)病例 固定烤瓷桥修复→种植牙
姓名:陈虹 年龄:52岁 性别:女性
现病史:右上后牙缺失4月,要求恢复。
既往史:右上单颗后牙缺失3余年,3年前曾于外院行烤瓷连冠修复治疗。4月前,右上烤瓷桥松动,咀嚼痛,遂于我科就诊去除烤瓷连冠,拔除右上折裂基牙。既往体健,否认高血压,糖尿病病史。
诊断:上颌牙列缺损
缺损部位: 右上颌后牙
治疗周期: 4个月
使用产品: BioTite-H Implant (SFR4514B)
DIO Cemented Abutment(SAC4834N x 2)
拔牙前

拔牙后

植入植体

复诊

种植体上部结构加工过程











牙冠粘接修复

服务热线
服务热线
版权所有: 重庆医科大学附属第二医院 | Copyright @ 2016-2026 CQSAHCQMU.CN All Right Reserved. 渝ICP备15009793号-10 渝公网安备 50010302000990号
技术支持:瑞秀科技



