案例分享:
一针封闭,绝处逢生——甲状旁腺微创治疗为继发性甲旁亢患者带来福音!
2020年5月的一天,覃老师在我科门诊胡玉栋医生的介绍下,来到了重医附二院江南医院肾内科病房,找到了谢树钦医生。覃老师是一名维持性血液透析的患者,合并“继发性甲旁亢”这一并发症后,出现明显骨痛、多处骨折、身高缩短等表现。覃老师得知重医附二院肾内科还有一些新的方法,怀揣着最后的希望,遂来到这里寻求帮助。
经谢医生详细了解覃老师疾病情况后,得知以下情况:他已经在门诊行规律血液透析15年,8年前检查甲状旁腺激素>3000pg/ml,未予以重视及处理。3年前出现全身骨痛、身高缩短伴皮肤瘙痒,于当地医院查甲状旁腺激素>3000pg/ml,先后行甲状旁腺无水酒精硬化治疗、甲状旁腺次全切除术,术后症状稍缓解,复查甲状旁腺激素1800pg/ml,为控制疾病进一步进展,考虑药物继续治疗,遂予以西那卡塞(拟钙剂)治疗。后骨痛、皮肤瘙痒再发,甲状旁腺激素进行性升高,外院予以西那卡塞、司维拉姆(降磷)治疗,症状未见明显缓解。
入院后完善相关检查,提示覃老师存在严重骨质病变、血管明显钙化。

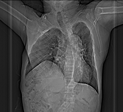
胸片摄片提示脊柱侧弯明显

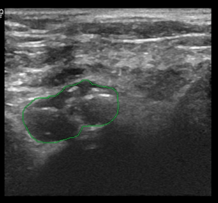
超声显示增生的甲状旁腺,内部可见组织钙化(绿色标记)

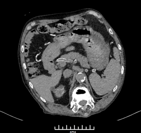
CT检查提示胸廓前后径增大

CT检查提示动脉血管壁钙化明显
经过充分的术前评估及沟通后,覃老师及家属选择了甲状旁腺药物注射治疗。肾内科钟玲主任团队于2020年5月8日为覃老师进行了该微创技术。术后患者甲状旁腺激素明显下降(由原来的1665pg/ml降至678pg/ml)。术后患者骨痛明显缓解,可在病房自由活动,复查结果显示:血钙明显下降,血磷降至正常水平。通过补钙治疗后,血钙趋于稳定后出院。

肾内科钟玲主任、谢树钦医生在超声引导下进行甲状旁腺药物注射治疗
一个月后患者复查甲状旁腺激素略有升高(949pg/ml)。经再次评估后,于2020年6月7日肾内科团队再次给覃老师行了一次甲状旁腺药物注射治疗,手术顺利。术后检查提示甲状旁腺激素降至12pg/ml,患者未出现明显不适。
经过近2个月的随访,患者自我感觉良好,一次随访中,患者告知我们,“有一次家里停电,自己从1楼爬到了17楼”。目前患者甲状旁腺激素水平基本趋于稳定,控制在目标范围的低限。

覃老师为肾内科医护团队的“点赞”
继发性甲状旁腺功能亢进症(简称:继发性甲旁亢)是慢性肾病患者常见的严重并发症之一, 可致全身多系统损害,临床症状有骨痛、乏力、皮肤瘙痒等,严重者可出现多发骨折、胸廓畸形,甚至“退缩人综合征”发生。退缩人综合征(Shrinking Man Syndrome,SMS)是以身高明显缩短伴骨痛、 骨畸形、病理性骨折和皮肤瘙痒等为主要特征的一种临床综合征。继发性甲旁亢治疗包括饮食控制、口服药物治疗、外科手术治疗等。
近年来,甲状旁腺微创诊疗发展迅速,作为国家临床重点专科、重庆市肾病学专业医疗质量控制中心,肾内科长期致力于透析患者综合管理,针对继发性甲旁亢,率先在西南地区开展甲状旁腺射频消融技术。甲状旁腺药物注射治疗是肾内科开展的一项治疗继发性甲旁亢的微创诊疗新技术,可以有效的将药物通过微穿刺技术注入甲状旁腺腺体组织内,实现“靶向封闭”效果,明显控制甲状旁腺激素的产生及分泌,从而控制继发性甲旁亢相关症状。局部药物注射可减少药物的全身作用,降低药物不良事件。
服务热线
服务热线
版权所有: 重庆医科大学附属第二医院 | Copyright @ 2016-2026 CQSAHCQMU.CN All Right Reserved. 渝ICP备15009793号-10 渝公网安备 50010302000990号
技术支持:瑞秀科技
