案例:
挑战EVAR的禁区:腔内治疗复杂破裂腹主动脉瘤病例分享
术者:唐博 罗海龙 汪海洋 彭敏
腹主动脉瘤一旦破裂(RAAA),总体病死率高达81%,大约32%发生在入院前,而在医院非治疗情况下病死率高达40%。因此RAAA的快速诊断及尽快手术对于提升生存率非常关键。近日我科成功救治此类患者一例:
患者男,80岁。因“腹部疼痛4天,加重2小时”入院。左侧腹部可扪及一大小约10cm×8cm搏动性包块。血压140/96mmHg,HR 101次/min。
既往病史:高血压病;冠心病 冠脉支架植入术后。
入院时考虑腹主动脉瘤破裂,急诊安排CTA及术前准备。

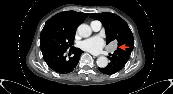
偶然发现左肺门占位:中央型肺癌?

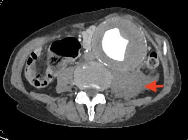
腹主动脉瘤破裂,后腹膜血肿。管腔呈新月型是特征性表现。瘤体最大直径约9cm。
诊断:1、腹主动脉瘤破裂 2、冠心病 3、高血压病3级 4、左肺中央型Ca?
手术治疗是唯一的机会,立即启动绿色通道,唐博教授组织科内讨论确定手术方案,通知杂交手术室、技术人员、支架厂家、麻醉团队、护理团队、重症监护室立即开展准备。
我们选择腔内修复术(EVAR),因其创伤小,可避免开腹及对腹主动脉的分离和阻断,手术时间短,对血液动力学的干扰较小,但对瘤颈解剖学形态的要求高。

1.此病例腹主动脉扭曲严重,瘤颈成角90度,不符合报道的解剖标准:瘤颈长度≥10 mm、瘤颈成角≤75度。
MehtaM, KreienbergPB, RoddySP, et al. Ruptured abdominal aortic aneurysm: endovascular program development and results[J]. Semin Vasc Surg, 2010, 23(4): 206-214
2.双侧髂动脉扭曲,左侧严重,属于困难入路。
3.腹主动脉瘤体较大,远端管腔内腹壁血栓较多。髂腿选择非常困难,也存在术中血栓脱落致下肢动脉栓塞风险。
4.右肾动脉闭塞,右肾未显影。术后肾功能衰竭风险较高。

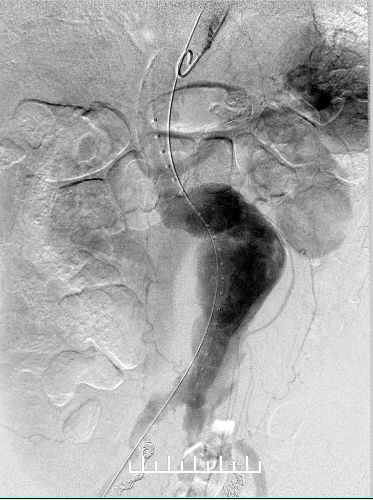
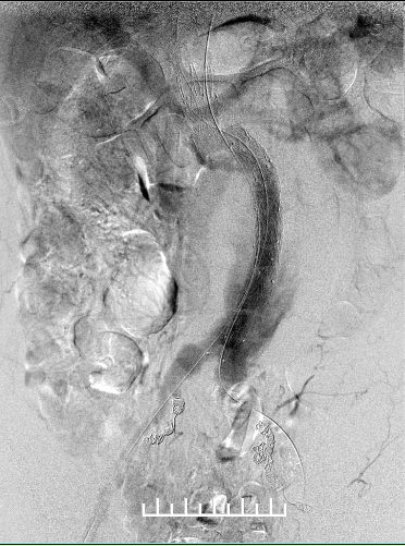
使用全穿刺技术(Preclose技术),建立双侧股动脉及右侧肱动脉入路。“全身像”显示:瘤颈成角约90度,左侧髂总动脉钙化扭曲严重,双侧髂内动脉显影,左侧髂内动脉瘤。

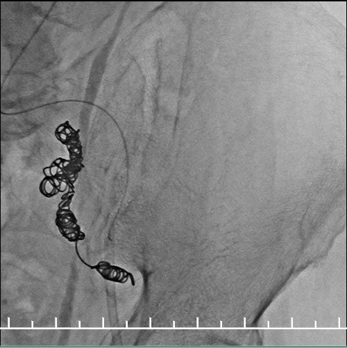
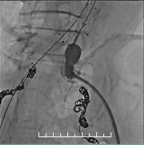
栓塞右侧髂内动脉,角度刁钻,使用翻山桥配合猪尾导管及超滑眼镜蛇,到达靶血管。8mm、6mm弹簧圈栓塞。

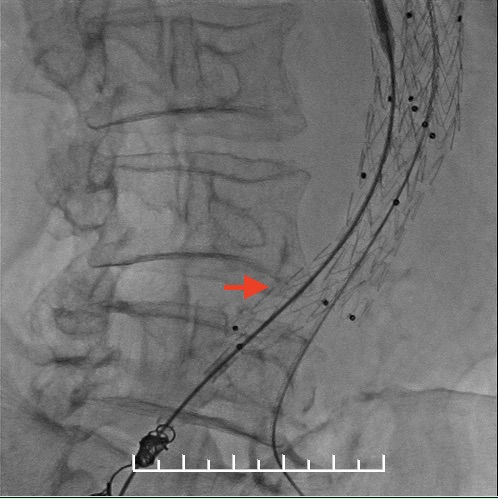
栓塞左侧髂内动脉。箭头处可见髂总动脉钙化扭曲明显,进出导管十分困难。

右侧超硬导丝到位,试图纠正瘤颈角度,结果不佳。支架必须使用柔顺性较好的,美敦力(28mm-16mm*160mm,Endurant II)是较好的选择。
支架柔顺性好,这是信心的来源。

右肾动脉闭塞,精确定位左肾动脉开口释放支架。

左股动脉入路导丝超选短腿失败,经右侧肱动脉使用导丝穿针引线从股动脉引出。
左侧髂动脉送入支架困难,但难不倒我们。

左侧放置第一枚髂腿支架(16mm*140mm,美敦力)

左侧放置第二枚髂腿支架(16mm*140mm,美敦力)

右侧完全释放主体再接一枚16mm-14mm 髂腿支架于髂总动脉近段(美敦力)


Ib型内漏(远端漏),需要处理

左右分别使用13.5*80、13.5*60mmFluency延长。左侧支架一定要越过髂动脉弯曲处,否则容易闭塞。此处可以看到左侧支架远端稍微有弯曲折叠。
仍然漏

不慌,还可以使用顺应性球囊扩张。

髂动脉硬化严重

再次造影:右侧髂支未显影!!!
是否近端原因,扩张一下

造影显示同样的结局

鞘管逆行造影,支架远端没问题,右侧股动脉搏动也正常。考虑血管扭曲,鞘管影响所致。

所以我们拔出右侧导管,缝合穿刺点。再次造影:显影良好,流速正常。
手术结束,送监护室。术中出血50ml,手术时间6个小时。术后1天拔管,48小时肛门排气排便,返回病房。
期待随访效果。
RAAA应选择腔内修复术开放手术、还是杂交手术,目前尚无定论。我们认为腔内修复术创伤小,可避免开腹及对腹主动脉的分离和阻断,手术时间短,对血液动力学的干扰较小。但其对瘤颈解剖学形态的要求高,血肿无法清除,术后存在内漏风险,远期效果未知。
然而,技术条件成熟的医疗中心的研究数据表明,腔内修复手术成功率及患者初期生存率较开放手术高,开放手术的术后30 d病死率为52%,而腔内修复术为24%,5年生存率腔内修复术亦有优势(44%比39%)。
HayN, McCrackenF, RichardsonJ, et al. Endovascular stent-grafts for the treatment of abdominal aortic aneurysms: NICE technology appraisal guidance[J]. Heart, 2009, 95(21): 1798-1800.
PeppelenboschN, YilmazN, van MarrewijkC, et al. Emergency treatment of acute symptomatic or ruptured abdominal aortic aneurysm. Outcome of a prospective intent-to-treat by EVAR protocol[J]
总结:
1、腔内治疗RAAA较开放手术有其优势。
2、合适解剖条件,专业的团队+绿色通道是选择腔内治疗的关键。
3、若经验丰富,可以尝试EVAR治疗复杂瘤颈的RAAA,但仍需持谨慎态度。
服务热线
服务热线
版权所有: 重庆医科大学附属第二医院 | Copyright @ 2016-2026 CQSAHCQMU.CN All Right Reserved. 渝ICP备15009793号-10 渝公网安备 50010302000990号
技术支持:瑞秀科技
