前言
肝内胆管由于寄生虫感染、细菌感染以及胆汁瘀滞等原因形成结石。肝内胆管结石病情复杂,容易引发严重的并发症,如:急性梗阻性胆管炎、急性胆源性胰腺炎、胆汁性肝硬化、感染性休克,甚至部分患者会诱发胆管癌,严重危害患者的健康。虽然肝内胆管结石是肝胆外科一种常见的良性疾病,但具有恶性疾病的表现,传统开刀手术治疗肝内胆管结石的残石率和复发率较高,患者因此反反复复做胆道手术,大大增加患者的痛苦,最终因病致穷,对治疗多发性肝内胆管结石仍是目前肝胆外科的难点。

1.什么是经皮经肝胆道镜碎石取石术(PTCSL)?
第一步在中上腹表皮上直接钻孔,经过肝脏钻孔直通肝内胆管,建立外界到肝内胆管的通道(一般1-3个孔,每个孔5mm左右),通过这个通道用微型摄像头找到结石,将结石打碎,用取石器械逐个取出肝内胆管的结石,手术结束后通过这个通道放置引流管引流胆汁。

2.经皮经肝胆道镜碎石取石术(PTCSL)的适应症?
多次开刀手术后结石复发的患者;
无法耐受开刀手术的患者,如老年、高危患者;
反复开刀手术不愿意再开刀的患者
弥漫性结石合并胆管扩张的患者;
已行其他手术后残留结石的患者;
其他手术难以取净结石的患者。
3.经皮经肝胆道镜碎石取石术(PTCSL)和传统开刀手术相比较有何优点和缺点?
优点:创伤小、恢复快,可以取到胆管末梢的结石和纠正胆管狭窄,避免反复开刀手术。
缺点:需要分次取石,取石周期相对较长,不适合于肝脏萎缩的患者。
4.行经皮经肝胆道镜碎石取石术(PTCSL)患者应具备的基本条件?
肝内胆管扩张>5mm;
结石所在部位肝叶无萎缩;
凝血功能正常;
无腹水。
5.需要做哪些术前准备?
抽血化验,胸片,心电图,腹部彩超,腹部CT,腹部MRI等等常规术前检查;
采用全身麻醉,术前需禁饮禁食6小时。
6.术后常见不良反应?
少数患者可能会出现肚子胀,肚子痛,发烧,引流管出血。
7.需要多少次才能取净肝内外胆管结石?
根据结石的多少,一般2-4次能取净肝内外胆管结石。
8.两次经皮经肝胆道镜碎石取石术(PTCSL)之间需要间隔多长时间?
两次手术间隔时间应根据患者恢复情况决定,一般1个月左右。
9.案例分享
案例1
患者,女, 60岁。从记事起就经常出现寒战、发烧、肚子痛。 30岁时在当地医院就医,确诊为肝内胆管结石、急性胆管炎、胆囊结石,接受了胆囊切除手术和胆管取石手术。之后周某因肝内胆管结石复发,先后行4次开刀手术,中上腹手术切口瘢痕纵横交错。近期,患者复查发现肝内胆管结石再次复发。患者非常惧怕再次开刀,采用保守消炎治疗,半年期间,反复出现寒战、发烧、腹痛,皮肤巩膜黄疸由浅变深。入院后完善腹部CT检查,在肝门胆肠吻合口附近和左边肝内胆管发现多发结石,导致肝内胆管明显扩张。患者不愿意再次开刀手术,选择行经皮经肝胆道镜碎石取石术(PTCSL)。我们在患者的肚子上打了个5mm的小孔,通过经皮经肝胆道镜碎石取石术,取尽患者肝内胆管结石。患者术后顺利康复出院,目前患者已经恢复了正常的工作和生活。

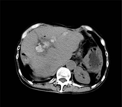
术前CT提示肝内胆管多发结石

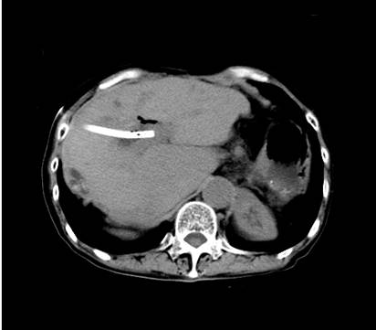
经过二次经皮经肝胆道镜碎石取石术(PTCSL),术后二月复查CT提示肝内胆管结石被取尽

经皮经肝胆道镜碎石取石术(PTCSL)和传统开刀手术伤口情况对比图

一次经皮经肝胆道镜碎石取石术(PTCSL)取出的肝内胆管结石实图
案例2
患者,男, 55岁。因为肝内胆管结石先后做了3次开刀手术。近期,患者因为发热、腹痛于当地医院检查发现肝内胆管结石再次复发,遂于我院就诊,患者最终选择行经皮经肝胆道镜碎石取石术(PTCSL)。通过3次经皮经肝胆道镜碎石取石术(PTCSL),患者的肝内胆管结石被取净,同样恢复了正常的工作和生活。

术前CT提示肝内胆管多发结石

第一次经皮经肝胆道镜碎石取石(PTCSL)术后CT(术后一月)

第2次经皮经肝胆道镜碎石取石(PTCSL)术后CT(术后二月)

第三次经皮经肝胆道镜碎石取石(PTCSL)术后CT提示肝内胆管结石被取尽(术后三月)
服务热线
服务热线
版权所有: 重庆医科大学附属第二医院 | Copyright @ 2016-2026 CQSAHCQMU.CN All Right Reserved. 渝ICP备15009793号-10 渝公网安备 50010302000990号
技术支持:瑞秀科技
