一、为什么会得肝内胆管结石这个病?
医学上,肝内胆管结石具体发病原因目前还不清楚,发病人群主要集中在中老年群体以及有以下疾病的患者:
寄生虫钻胆:如胆道蛔虫。卫生条件不好,不注意手卫生,爱吃泡菜、凉拌菜,很容易得肠道蛔虫。蛔虫喜欢钻洞,钻入胆道后死在里面,引起胆道感染,久而久之就会形成肝内胆管结石。这是最常见的原因。随着卫生条件改善,人们越来越注意手卫生,定期驱虫,胆道蛔虫引起的肝内胆管结石病比以前少。
胆道怪异:先天性发育异常,比如胆管扩张、十二指肠乳头旁憩室。后天获得:外伤或手术导致胆管狭窄。
肝硬化:肝硬化时易得肝内胆管色素结石,原因是肝硬化时胆汁中胆红素和胆汁酸异常。
血液系统疾病:如地中海贫血、自身免疫性溶血的病人由于胆红素代谢异常也容易产生肝内胆管色素结石。
胆道感染、肝内胆管结石、胆道肿瘤三者有密切关系,胆道感染会引起肝内胆管结石,久而久之会诱发胆道癌变。
二、得了肝内胆管结石这个病有什么表现?

“痛、黄、热”
腹痛:结石阻塞胆管,胆汁排泄不畅,胆道感染,导致腹部胀痛;
黄疸:胆汁排泄不畅,胆汁淤积入血,引起全身皮肤和眼睛发黄;
发热:结石阻塞胆管,滋生细菌,胆道感染,从而引起发热。
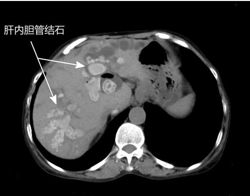
三、如何判断是否得了肝内胆管结石?
通过以下检查方可知晓:
常规体检:腹部彩超;
术前检查:腹部MRI 或CT。
四、得了肝内胆管结石怎么办?
无症状:利胆药物,注意手卫生,定期驱蛔虫,定期复查腹部彩超。
有“痛、黄、热”症状:腹部MRI 或CT,尽早手术治疗!
肝内胆管结石不积极治疗的三种危害:
1、反复发胆管炎(“痛、黄、热”);
2、部分病人得肝脓肿(肝脏长脓包);
3、个别病人会诱发胆管癌。
五、得了肝内胆管结石,常见的治疗方案
1、经肚子取石手术;
2、经皮肤打孔取石手术;
3、胆管空肠吻合术;
4、切肝手术;
5、换肝手术等。
六、各种治疗方案有哪些优缺点?该怎么选择?
经肚子取石手术
优点:通过通畅引流胆汁,有利于控制胆道感染,有效挽救患者生命。手术创伤小、操作简单、手术时间短。
缺点:只能取出粗胆管的结石,无法处理细胆管的结石,不能去除有病变的胆管,结石残留和术后复发的可能性均较高。
适用于:结石数量较少,粗胆管的结石,肝脏无萎缩,胆管无狭窄的病人。
开刀和打洞(腹腔镜)手术均可,更推荐打洞(腹腔镜)手术,因为打洞(腹腔镜)手术是微创手术,具有创伤小,恢复快,病人痛苦小,伤口不容易感染等优点,但是手术时间较开刀手术长,费用较开刀手术高,且多次开腹的病人由于腹腔粘连严重不适合打洞手术。
经皮肤打孔取石手术

优点:创伤小、恢复快,通过球囊扩张可以纠正胆管狭窄,避免反复开刀手术。
缺点:取石周期相对较长,不适合于肝脏萎缩的病人,有一定的结石残留可能。
适用于:多次手术后结石复发的病人;无法耐受全麻手术的病人;老年、高危患者;弥漫性结石合并胆管扩张的病人;做其他手术后残留结石的病人;其他手术难以取净结石的病人;拒绝开刀手术的的病人。
经皮肤打孔取石手术分为传统和改进两种方式(在《不开刀,照样能取出肝内胆管结石!》一文中有介绍),传统和改进的方式均可选,推荐改进的手术方式,因为传统方式治疗周期长,取石效率低。改进的手术方式缩短住院时间,减轻病人痛苦,取石效率高。
胆管空肠吻合术
优点:有利于胆汁通畅引流,一定程度预防结石复发。
缺点:有严格的适应症,没有了胆管下端开关,肠液可能向胆管反流,有加重胆道感染的风险。
适用于:胆管下端开关不好或胆管狭窄的病人。
开刀和打洞手术(腹腔镜)均可选,推荐打洞(腹腔镜)手术,因为腹腔镜(打洞)手术是微创手术,具有创伤小,恢复快,病人痛苦小,伤口不容易感染等优点,当然也有手术时间较开刀手术长,费用较开刀手术高,多次开腹的病人由于腹腔粘连严重不适合打洞手术。
肝切除手术
优点:肝脏、胆管、结石一锅端,避免胆管癌变风险,结石残留和术后复发的可能性均较低。
缺点:手术较大、操作复杂、术后出血、胆瘘风险较经肚子取石手术高。
适用于:结石引起肝脏萎缩或胆管狭窄的病人;肝内胆管结石只分布在局部肝脏的病人。
开刀和打洞手术(腹腔镜)均可选,推荐打洞(腹腔镜)手术,因为腹腔镜(打洞)手术是微创手术,具有创伤小,恢复快,病人痛苦小,伤口不容易感染等优点,当然也有手术时间较开刀手术长,费用较开刀手术高,多次开腹的病人由于腹腔粘连严重不适合打洞手术。
换肝手术
优点:理论上治疗效果最好。
缺点:风险和费用高,很多病人承担不了;捐献肝脏的人太少,很多病人等不了。
适用于:肝内胆管结石导致的晚期肝硬化、肝功能衰竭的病人。
七、各种治疗方案的风险和费用怎么样?
费用: 从几万(前四种手术)到几十万(肝移植)不等,每个病人略有差别。费用通常情况下:经肚子取石手术<经皮肤打孔取石手术<胆管空肠吻合术<切肝手术<换肝手术。
风险:出血、感染(肚子、肺部、切口发炎)、胆漏(胆汁漏到肚子)、肝功不好(肝腹水、皮肤眼睛黄)、结石取不干净。风险通常情况下:经肚子取石手术<经皮肤打孔取石手术<胆管空肠吻合术<切肝手术<换肝手术。
八、需要多久才能康复?
康复时间: 经肚子取石手术<经皮肤打孔取石手术<胆管空肠吻合术<切肝手术<换肝手术, 住院时间从一周(前四种手术)到一月(肝移植)不等,每个病人略有差别。完全康复时间为术后3月到半年不等。
九、怎样预防肝内胆管结石复发?
注意手卫生,不吃泡菜或凉拌菜,每年定期吃打虫药,适当的利胆药物(中药如金钱草,其他),做了胆肠吻合或胆管下端开关不好的病人,养成饭后散步的习惯,不要马上平躺,避免食物反流到胆道。
十、肝内胆管结石的患者饮食需要注意什么?
手术以后的饮食要听主治医生的指导,一般从水、稀饭、牛奶、蒸蛋、鱼肉、瘦肉(鸡、鸭、猪、鸽子)、普通饮食过渡。优质蛋白、蔬菜、水果的摄入有助于术后快速康复。
肝内胆管结石患者平常的饮食需要注意:
无症状的病人,饮食虽没有特殊的限制,但要注意手卫生,尽量不吃泡菜或凉拌菜。
有“痛、黄、热”症状的病人仅能清淡饮食,如稀饭、素菜,尽量少沾油。症状缓解后也要忌口,不要吃油腻的食物,如肥肉、猪蹄、火锅等很容易再次诱发症状,蔬菜、水果没有特别的限制。
温馨提示:当您遇到肝胆方面的常识问题,可以阅读我们的科普文章。当您因为门诊时间短而未能咨询的问题,我们可以在微信上继续为您解答。当您手术后面临术后恢复的问题,在微信上继续进行询问。也许由于各种原因我们未能及时进行回复,但只要我们看到了肯定会尽力为您解答,帮助您战胜病魔,尽早康复。

微信报道操作流程:微信扫一扫上方的二维码,关注好大夫,点击程瑶医生的工作站,然后验证手机号,填写个人信息,填写疾病名称。全部完成以后就可以和医生通过微信和我们交流了。
服务热线
服务热线
版权所有: 重庆医科大学附属第二医院 | Copyright @ 2016-2026 CQSAHCQMU.CN All Right Reserved. 渝ICP备15009793号-10 渝公网安备 50010302000990号
技术支持:瑞秀科技
