
“一切为了病人的健康和生命”,从医40余年,黄晶教授一直坚守这个信念。不管是20年如一日地为病人开展冠脉介入诊疗;还是将重心由“治转为防”,建立高血压防控体系;以及对前沿科学技术的创新探索,他都决策果

恶性肿瘤长在颈椎上,长达4节段颈椎必须切除,而拿掉椎体后的大跨度支撑,又是另一个医学难题。近日,重庆医科大学附属第二医院骨科脊柱外科中心联合MDT多学科团队,成功完成了第一例高难度“前后入路联合颈4-

“姐姐,谭阿姨安全到家了没有啊?”“到了到了,谢谢你细致入微周到的服务。”……你能想象,在最繁忙的大型三甲综合医院的门诊里,会有“一对一”免费全程陪诊直至就诊结束吗?在重庆医科大学附属第二医院渝中院区

稳坐控制台,目视裸眼3D显示屏,脚踩“离合”,手戴“指套”,只见手术医生稍微动动手指,5米外的手术台上,“达芬奇手术机器人”便舞动着...

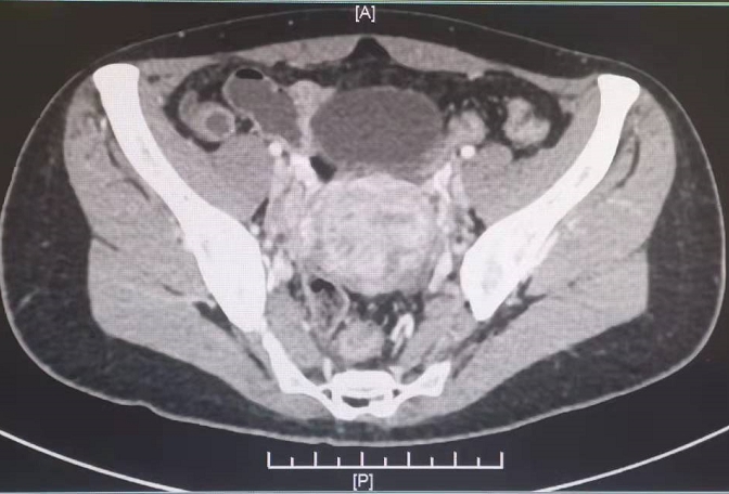
重医二院·医事快讯91丨宫内节育环移位,女子子宫、直肠壁被穿破!医生检查发现还有更严重的问题……

【神经内科】发展大事记:1962年,筹建神经病学专业组;1999年,神经内科正式成立;2001年,批准为重庆市重点学科;2006年,获批国家药品临...

12月16日一大早,渝中区解放碑街道临江门社区的赵琇(化名)来到重庆医科大学附属第二医院魁星楼新门诊楼旁边的广场上,经过测血糖、测血压...

活动现场。 重医附二院供图人民网重庆12月16日电 (陈琦)环境更舒适了,设置更合理了,市民就医更方便了……今日上午,重庆医科大学附属...

12月16日,重医附二院启动了魁星楼新门诊惠民行动,为更好地为患者服务,从即日起,该院将实施为期三个月的“三减二免一陪”惠民服务。据悉...

12月16日,重庆医科大学附属第二医院举行“魁星楼新门诊惠民行动”启动仪式,重庆市渝中区人民政府、重庆市卫生健康委、重庆医科大学、渝中...

华龙网-新重庆客户端12月16日18时讯 焕然一新的就医环境、体贴入微的就医服务,如今还再送福利,全面启动为期三个月的惠民活动?当全新门...

渝中融媒体中心-重庆渝中客户端(记者 刘侃)继重医大附二院魁星楼新门诊12月5日投入试运行后,医院再一次为老百姓送上“健康红利”。12月...

近日,由中国医学科学院主办的2020年度中国医院科技量值与2020年度中国医学院校科技量值(STEM)发布会在京举行。在妇产科学专科排行榜单上...

12月9日,重庆日报记者从重医附二院获悉,该院渝中院区门诊整体搬进了离它不远的魁星楼。新门诊延续了医院江南院区的门诊布局,从“器官-系...

华龙网-新重庆客户端12月8日11时讯 位于解放碑的魁星楼曾经是重庆最大的书城所在地,因为22层楼高的悬空天桥以及27楼楼顶上的休闲广场而出...

体检发现颈动脉狭窄,不少人并不在意,但如果狭窄超过50%,则建议手术治疗,不然会增患缺血性脑卒中的风险。日前,患者杨红(化名)因颈动...

嘴巴无法闭合,说话吃饭都成了问题;下巴和前胸被可怕的瘢痕连在一块,每天只能“低着头”做人……3岁时惨遭烧伤,这样痛苦的生活,42岁的...

近日,中国医学科学院发布2020年度中国医院科技量值与2020年度中国医学院校科技量值(STEM)排名。重庆医科大学附属第二医院心血管内科以第...

开栏语:身体不适该看哪个科室?专家什么时候出诊?为进一步满足患者就医需求,扎实“我为群众办实事”实践活动,使医疗惠民措施落实落地,...

华龙网-新重庆客户端11月25日15时讯 “俗话说:耳听为虚,眼见为实。但作为医务人员来说,眼见也不一定为实!”“优秀临床医生的基本素养是...
服务热线
服务热线
版权所有: 重庆医科大学附属第二医院 | Copyright @ 2016-2026 CQSAHCQMU.CN All Right Reserved. 渝ICP备15009793号-10 渝公网安备 50010302000990号
技术支持:瑞秀科技