华龙网-新重庆客户端5月10日16时讯“很幸运我选择了把母亲接到这里来手术,手术很成功,我母亲恢复得也很好。”近日,在重医附二院肝胆外科,莉莉(化名)为母亲办理了出院手续,至此,重医附二院首例腹腔镜下中肝静脉血管重建术画上了圆满的句号。
每年体检却忽视了这项检查 肿瘤长到了7cm大
莉莉和母亲赵兰(化名)来自重庆区县,身为医务人员的莉莉平时也特别注重家人的健康,每年都会带母亲体检。“最近的一次体检是去年十月份。”莉莉表示,由于体检只做了常规项目,并没有发现有何异常。
不久前,莉莉的母亲觉得身体不适,“双侧肋骨下隐隐作痛”,在当地医院就诊时,医生建议其做胸部CT。检查结果显示肝区有一个7cm的包块,“当时我就觉得这不是好现象,一定要查明。”莉莉说,于是她带着母亲在当地医院住院。待做完增强CT、MR等检查之后,医生结合病史考虑是良性肿瘤,但肿瘤的大小已经达到手术指征,建议其手术切除。
为了给母亲更好的治疗,莉莉咨询了很多医生,其中一位曾经在重医附二院肝胆外科进修过的医生给莉莉推荐了该院的刘作金教授。于是,莉莉带着母亲从区县来到了主城。



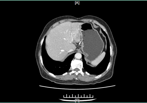
术前影像图。院方供图
中肝静脉受侵!血管重建术提高患者生存质量
但经过进一步的检查,医生发现莉莉母亲“门脉左外支及肝左静脉受侵”,意思是肿瘤侵犯了肝左静脉。经过几天的术前准备,4月25日下午,一场由刘作金教授主刀、肝胆外科和麻醉科医师密切配合的腹腔镜手术开始了。
“腹腔镜手术创伤小、恢复快,更有利于患者的术后康复。”刘作金教授表示,此次手术仅在患者腹部开了5个小孔,最长切口只有12mm。
在腹腔镜探查的过程中,医生团队发现患者的肿瘤已侵犯部分中肝静脉,“如果不管这被侵犯的血管,手术等于白做,但如果切除了不重建,会影响血液回流,对肝功能的影响会很大。”刘作金教授表示,为了给患者更好的生存质量,他们决定做“腹腔镜下中肝静脉部分切除重建”。简单地说就是在腹腔镜下将被侵犯的中肝静脉切除,再将切除后的两端接上。
大约3个多小时后,这台“腹腔镜下左半肝切除术+胆囊切除术+中肝静脉部分切除重建”手术顺利完成。术中出血量少,患者病情平稳。

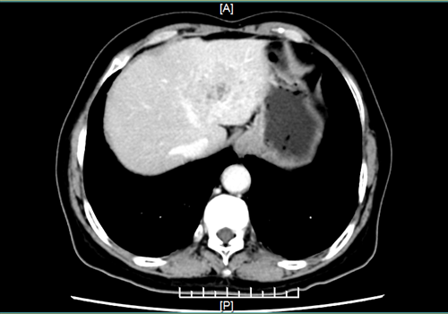
术后影像图。院方供图
手术难度超乎想象 “幸亏来到这里”
“要在腹腔镜下完成静脉切除重建的操作,本身就不是一件容易的事。”刘作金教授介绍,外科常常这样比喻手术的难度——“在腹腔镜下如果完成胰腺癌手术,就相当于攀爬上了外科的‘珠穆朗玛峰’;如果完成了静脉切除重建术,就相当于摘下了‘皇冠’;而如果完成了动脉切除重建术,就叫摘下了‘皇冠上最璀璨的明珠’。”
但在重医附二院肝胆外科,这已经是第二次实施腹腔镜下的静脉切除重建术。“早在去年年初,我们就做了一例腹腔镜下的胰腺癌静脉切除重建术。”不仅如此,在今年年初,该科还成功完成了一例腹腔镜下的肝动脉切除重建术。顺利从“皇冠”达到了“明珠”。
而在此基础上,要在腹腔镜下完成中肝静脉重建,更是“稀有”操作。据了解,中肝静脉被肿瘤侵犯的情况下,多数会选择放弃血管重建,哪怕开腹重建的都很少,更别说在腹腔镜下完成了。
“刚开始以为只是普通的肝叶切除,难度不大。没想到难度这么大,幸好当初决定来这里。”莉莉表示,目前母亲恢复良好,她也很庆幸当初自己给母亲做出的选择。
服务热线
服务热线
版权所有: 重庆医科大学附属第二医院 | Copyright @ 2016-2026 CQSAHCQMU.CN All Right Reserved. 渝ICP备15009793号-10 渝公网安备 50010302000990号
技术支持:瑞秀科技
