日前,世卫组织国际癌症研究机构(IARC)发布,发病率曾多年高居全球首位的肺癌,2020年竟屈居全球第二。但是,80%的肺癌患者发现时已经是中晚期,已经失去最佳手术时机。靶向药物和免疫药物的出现,使部分肺癌患者能够获得更长的生存时间和生活质量,而射频消融微创治疗等新技术的出现,给了患者更多的选择。目前该技术已取得良好疗效,并获得不少患者认可。
病例实录》》
50岁男子患肺腺癌并转移
医生用靶向+微创成功救治

日前,50多岁的郑先生在妻子的陪同下,回到重医附二院江南院区呼吸与危重症医学科复查,听到科室副主任江德鹏教授说病情非常稳定,他们非常开心。
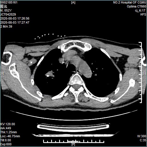
2019年10月,家住丰都的郑先生因不明原因的胸痛、咳嗽,来到重医附二院找到江德鹏诊治。通过CT等检查,明确诊断为肺腺癌,伴淋巴结、骨转移,情况不容乐观。


(术前)
看着一筹莫展的郑先生和他妻子,江德鹏教授安慰他们不用怕,详细解释了肺癌治疗的各种方法,因不适合手术治疗,同时经过基因筛查,发现明确有基因突变后,制订靶向药物联合抑制血管生成药物的治疗方案,同时辅以锶89等治疗。3个月后,认真配合治疗的郑先生复查,肿瘤显著缩小了,病情处于相对稳定状态。
但是,由于大部分病人服用靶向药物一年左右会出现耐药,所以,靶向药物也只能一定程度地延长患者生存期。于是,在服用靶向药物11个月后,江德鹏教授和郑先生沟通,建议在未出现耐药前抓准时机,进行CT引导下的经皮射频消融微创治疗,争取根治肿瘤。

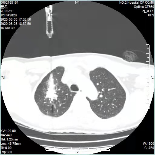
经过充分的术前准备、评估,2020年8月初,郑先生接受了射频消融微创治疗。术中,江德鹏教授在患者体表定位后,将单极射频肿瘤消融电极针,准确置入病灶中心部位,然后开始射频消融治疗。在治疗过程中,又适时调整穿刺方向及深度,密切观察患者的反应及生命体征。


(术中)
整个手术耗时1小时左右,因不必全身麻醉,患者术中未诉任何疼痛。消融完毕行胸部CT扫描,达到了完全消融的影像学特征,未见明显气胸和出血等情况。神奇的是,术后第二天,郑先生的一些胸部不适症状就消失了,目前,郑先生在医生的指导下规范治疗,疾病没有进展。
新技术射频消融
微创治疗肺癌杀灭癌细胞
江德鹏教授介绍,为案例中郑先生进行的CT引导下的肺恶性肿瘤经皮射频消融,就是近年来出现的一种针对肺癌的微创治疗技术。它是在CT设备引导下,将射频电极针穿刺至肿瘤靶心,利用高频率射频电流,高速震荡产热,局部温度达90℃,使肿瘤靶心发生不可逆性变性、坏死,从而最大限度地灭活靶区的肿瘤细胞。
手术耗时短,病人痛苦小,定位精确,局部高温,坏死彻底,灭活理想是射频消融的显著优点。同时,对其它正常组织损伤小,住院时间短,不影响患者日常生活。
射频消融有严格适应症
综合治疗更有利于患者疗效
“虽然射频消融效果很好,但对于有的专家认为,这个新技术能替代外科手术治疗这个观点,我持保留态度。”江德鹏教授指出,目前对于CT引导下的肺恶性肿瘤经皮射频消融的适应症仍未达成共识,不过对于他来说,能够外科手术的,推荐首选手术。而对于以下这些患者,他推荐射频消融治疗。
1、适合不能耐受手术的早期周围型肺癌患者和高龄患者,或有手术指征,但病人拒绝手术的原发性或转移性患者。
2、适合和靶向治疗等联合应用,肺癌靶向治疗患者若病灶小到一定程度,或者到一定时间点的时候,可以联合局部治疗,而射频消融可以作为局部治疗方法的一种供患者选择。
3、中晚期肺癌患者或肿瘤比较大的患者,可通过局部的射频消融治疗或粒子植入进行姑息治疗,提高患者生活质量,减轻痛苦,延长生命。究竟适合哪种治疗方式,需要医生根据患者具体情况进行综合选择。
“中晚期肺癌的治疗,往往是综合治疗。而射频消融给了患者一个新的选择。”江德鹏教授说。
射频消融可以不是一次性。由于肿瘤本身的因素或者病人身体的因素,第一次做完三个月以后,可以进行第二次消融治疗,把那些可能残存的肿瘤组织进一步消融。
“还有,如果射频消融治疗之前,病人没有病理学诊断,我们可以在射频消融之前先做一个CT引导下的肺穿刺活检,明确肺癌的病理类型。”江德鹏教授说,穿刺针切割取出来的组织除了可以做病理诊断,还可以做EGFR基因检测。根据这个结果,可以决定病人是否适合靶向治疗,可以把射频消融治疗和靶向药物治疗相结合。
准确定位穿刺肿瘤靶心是难点
重医附二院已成功救治30多位患者
江德鹏教授介绍,开展CT引导下经皮肺恶性肿瘤射频消融,其难点在于,怎么将射频电极针准确无误地穿刺至肿瘤靶心,如果定位不准确或操作不当,不仅不能杀灭癌细胞,可能损伤到正常细胞,因此,这非常考验术中操作医生的水平。
重医附二院呼吸与危重症医学科是国家临床重点专科,在王导新主任带领下,长期专注于呼吸介入诊疗技术。其中,CT引导下经皮肺穿刺开展例数和诊断成功率均居重庆前列。自从2018年5月,该科开展该院第一例CT引导下经皮肺恶性肿瘤射频消融治疗后,到目前为止,已有30多位肺癌患者成功接受该治疗,并且疗效显著。
“这是基于团队医生大量病例积累的丰富经验,同时也标志着科室对中晚期肺癌微创治疗又上了一个新台阶。”江德鹏教授表示。
就医指南》》
可在“重医附二院”官方微信公众号预约挂号:重医附二院渝中院区-肺小结节和肺癌专病门诊,预约江德鹏(周三上午渝中院区);重医附二院江南院区-呼吸内科,预约江德鹏(周一上午江南院区)。
服务热线
服务热线
版权所有: 重庆医科大学附属第二医院 | Copyright @ 2016-2026 CQSAHCQMU.CN All Right Reserved. 渝ICP备15009793号-10 渝公网安备 50010302000990号
技术支持:瑞秀科技
