近日,老家在重庆綦江的金先生,千恩万谢告别重庆医科大学附属第二医院肝胆外科江南院区的医护团队,开心踏上回家的归程。说起近两月刻骨铭心的就医历程,刚刚经历了冰火两重天的金先生充满了感慨,重医大附二院创造的奇迹和救命恩人是他提得最多的词。
两个月前,正在温州市工作的金先生体检发现肝占位,在当地医院诊断为肝癌。并被告知肿瘤分期偏晚(原发性肝癌伴肝内转移,右侧肝脏多发病灶,左半肝体积小无法耐受切除手术),建议行姑息性治疗——介入治疗。这个治疗方案意味着,金先生的生命在不久的将来会因为肝癌而结束!经过短期的迷茫和痛苦期后,年仅51岁,不甘屈服于命运的金先生开始了和命运的抗争。天无绝人之路,来自亲人及大量便捷的网络信息告诉他,家乡就有一家多次为晚期肝癌患者创造生命奇迹的医院——重庆医科大学附属第二医院,其肝胆外科擅长复杂肝肿瘤切除根治手术。怀揣莫大的希望,金先生一家即刻启程来到了江南院区肝胆外科求诊。
病情就是命令,迅速完成必要检查后,重庆市肝胆外科首席工作室领衔专家龚建平主任迅速主持了全科讨论。科室专家纷纷发言,金先生虽然癌灶较大较多,但局限于右肝,可先用介入控制疾病进展;左肝虽然较小,但患者脾脏不是特别大,提示肝硬化程度不是特别严重,如果结扎门静脉右枝后,左半肝脏可能有较强的再生能力,从而获得二期切除癌灶的机会的。最后大家拟定方案,由已经有多例此类手术经验的科室副主任刘作金教授主刀完成该手术。

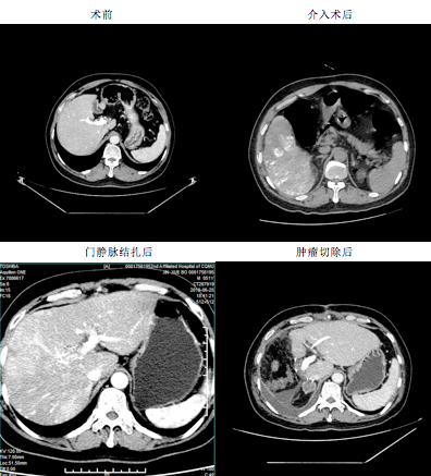
5月28日,在江南院区重庆市目前最先进的杂交手术室,刘作金教授首先对金先生的右肝癌灶做了介入栓塞治疗,随即在腹腔镜下行门静脉右支结扎术。这种改良的手术方式,不仅可有效控制肿瘤进一步发展,又能促进左半肝代偿性增生。6月25日,CT复查结果提示金先生的左半肝明显增生。刘作金教授团队于7月1日完成了治疗的第二步腹腔镜下的右半肝切除术,术后病理提示肝细胞肝癌,术后仅仅7天,金先生康复出院。
面对激动不已的金先生一家及围观的众多病患家属,刘作金教授说,这种类似奇迹在重医大附二院江南院区时有发生,早已不再当作奇迹了。刘作金教授表示,常规的两步法切肝,只结扎门静脉和把肝脏劈开,对原发肿瘤没有处理,有肿瘤继续生长、转移的风险,并且局部严重的炎症反应,会导致二次手术难度大,易出血的缺点。科室利用江南院区杂交手术室既可以做介入,也能完成常规手术的特点,采用改良的一期只做血管结扎,但同时做了癌症的栓塞介入治疗,就能避免和减少上述两种并发性的发生,且一、二期手术都是腔镜下完成的,极大的减少了患者的痛苦。据悉,该方式的肝癌根治术,目前市内只有重医大附二院江南院区才能完成。
在科室学科带头人龚建平教授十年如一日的不懈坚持和努力下,肝胆外科现在已经是重庆市规模最大的肝胆外科,是第一家按肝脾、胆胰亚专业收治病患的肝胆外科,是重庆是肝胆外科加速康复外科示范病房。科室近日面向全国同道开展了连续一周,每天一台腹腔镜胰十二指肠切除直播手术。
该手术能够成功完成,是肝胆外科龚建平教授领导的团队千锤百炼出来的精湛医技和认真负责的工作态度,以解除患者病痛为己任,挑战高难度手术为目标,是重医大附二院肝胆外科所有医护人员的工作态度。
服务热线
服务热线
版权所有: 重庆医科大学附属第二医院 | Copyright @ 2016-2026 CQSAHCQMU.CN All Right Reserved. 渝ICP备15009793号-10 渝公网安备 50010302000990号
技术支持:瑞秀科技
