患有30万分之一发病率的罕见心脏病、心脏曾骤停30分钟、围术期随时可能猝死……是否为55岁的袁荣(化名)做这个肝胆手术,曾是摆在重庆医科大学附属第二医院肝胆外科医生们面前的难题。
“患者长期饱受胆道结石困扰,如果继续保守治疗,极有可能出现肝功能障碍甚至多器官功能衰竭。”肝胆外科主任刘作金介绍,患者入院前出现了高烧黄疸,肝内肝外的胆管都有严重问题。结合患者意愿并严格分析各项手术指征,医生“迎难而上”,成功为其完成了左肝切除及胆管空肠吻合术。

▲4小时的肝切除手术成功完成

▲患者如今恢复状况良好
先天性心脏病患者可能随时猝死
布-怀-加三氏综合征,又名异常左冠脉肺动脉起源,属于一种先天性心脏病,其发病率约三十万分之一。昨(7)日,上游新闻·重庆晚报慢新闻记者在病房里见到了袁荣,如今他除了巩膜和皮肤仍有黄染,身体情况恢复良好。“医生告诉我,我的疸黄素在慢慢下降,黄染情况也会逐渐好转了。”按照袁荣的话讲,自己的经历一直在诠释着何为“小概率”奇迹。
2015年,袁荣在一次结石治疗中,无意通过心脏彩超得知了自己的心脏和旁人大不相同。“简单来说,就是普通人的心脏由主动脉供血,而患者是由肺动脉供血。”刘作金主任告诉记者,“肺动脉”供的其实是一种静脉血,压力比主动脉低很多。这让心肌细胞不能得到正常的供氧,会导致心脏长期处于缺血状态。
心肌缺血意味着诱发恶性心律失常、心衰。在发病患者中,90%会死于婴幼儿期,只有不到10%的患者能活到成年期。袁荣体内特殊的侧枝循环让成为活下来的10%。但同时,也不可避免地患上了中度肺动脉高压、慢性心力衰竭。
“从胆囊结石到胆总管结石,再到肝内胆管结石,患者近年来结石从肝外长到了肝内,病情一直在加重。”想起一年多前,袁荣曾在胆管炎抗感染治疗中出现的半小时心脏骤停。即使虽然通过心脏复苏奇迹般地抢救了回来,但否能为随时可能猝死的患者进行肝切除手术,刘作金主任坦言当时心里也没底。
不进行手术的保守治疗,未来极有可能出现肝功能障碍甚至多器官功能衰竭。“为了患者活下去,必须拼一把。”就这样成为了袁荣和医生们的共同想法。
手术难度高 多学科协作保驾护航
4月24日手术当日,在进行了全面细致的评估并制定了完善的麻醉计划后,老年科为袁荣安置上了临时起搏器。为了确保手术成功,重医附二院通过多学科协作,使用二维超声斑点追踪技术评估患者心肌运动功能;除常规检测外,还对SedLine脑功能、心输出量(CO)、心指数(CI)、外周血管阻力指数(SVRI)及中心静脉压力等进行了监测。

▲术中设备实施监测患者身体数据

▲术中设备实施监测患者身体数据
严重的胆道梗阻症状、不耐受肝脏切除,这个手术难度可想而知。主刀的刘作金主任回忆,患者腹腔严重粘连,为了慢慢分离肝脏,背侧入路中肝静脉显露法,腹腔镜肝切除的这种特殊技巧显得尤为关键。刘作金表示,这种新技术可以避开严重粘连的第一肝门,从侧面清晰暴露中肝静脉,完整切除扩张的胆管,避免术后结石复发残留。
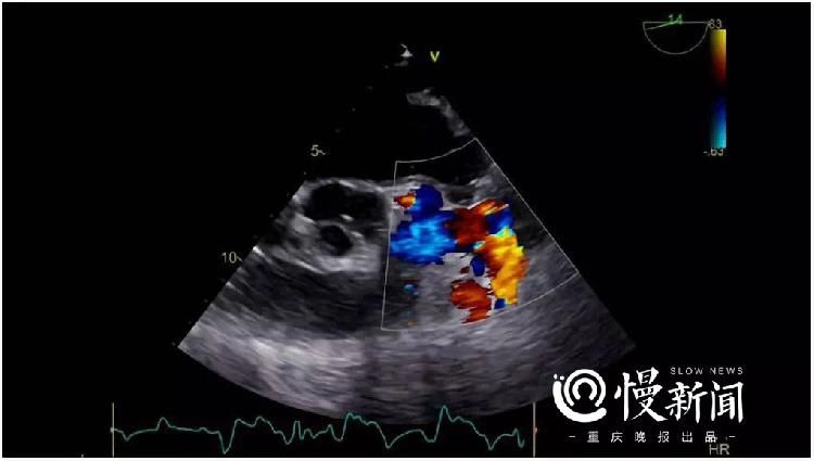
手术有条不紊而紧张进行,术中食道心脏超声(TEE)实时监测着袁荣心脏的各项指标,并同步评估冠状动脉血流动力学和肺动脉压力。同时,根据监测数据调节肺动脉压力、降低冠脉窃血、保障心肌灌注,手术平稳顺利地完成。
4小时后,左肝切除及胆管空肠吻合术成功完成。经二维超声斑点追踪证实,患者在左冠状动脉支配区域心肌功能得到改善,在手术室就已完全清醒并拔除气管导管,并于术后第二天就从ICU送回普通病房继续观察。
如今患者的病情已经基本得到恢复。记者了解到,这也是重庆市第一例成年型布-怀-加三氏综合征行非心脏手术的案例。
服务热线
服务热线
版权所有: 重庆医科大学附属第二医院 | Copyright @ 2016-2026 CQSAHCQMU.CN All Right Reserved. 渝ICP备15009793号-10 渝公网安备 50010302000990号
技术支持:瑞秀科技
