
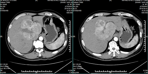
2019年4月10日,在重庆市肝胆外科首席专家工作室领衔专家龚建平主任指导下,我院肝胆外科刘作金教授团队完成了一例罕见的难度极大的累及肝左右交界区及尾状叶的巨大混合肿瘤切除术。患者章某某,男性,56岁,来自贵州省遵义市。他4年前于新桥医院行CT检查,发现5厘米肝占位病变,肝穿刺活检提示肝神经内分泌瘤可能,行射频消融治疗后出院;3月前于西南医院再次复查时提示肝占位增大至10厘米,而再次行射频消融治疗。但因肿瘤巨大,部位特殊(推挤右肝静脉,侵润压迫中肝、左肝静脉),射频效果欠佳。术后CT复查提示肿瘤活性仍存且继续增大(12厘米)。随即患者及家属辗转于重庆市各三甲医院,均被告知因肿瘤巨大且部位特殊已无治疗机会。万幸的是,绝望回到遵义的章某有一邻居曾在我院治疗肝病,附二院精湛的医技,高尚的医德给他留下了深刻的印象。如同抓住最后一根救命稻草的章某抱着最后一线希望来到我院肝胆外科求治。
龚建平主任主持了全科讨论,认为肿瘤体积虽然巨大、且紧贴右肝静脉及下腔静脉,但边界较为清楚仍有切除机会,不过手术难度极大。在完成必要术前准备后,在龚建平主任指导下,刘作金教授团队历时7小时10分钟,顺利完成手术。现患者康复良好即将出院,术后病理提示:肝神经内分泌肿瘤及肝细胞性肝癌。文献检索提示,同时生长这两种类型肿瘤的病例极其罕见,但因肿瘤完整切除,术后预后较好。
该手术的成功完成,得益于龚建平主任长期不懈的团队内功建设所锤炼出的精准术前评估、高超手术技艺、耐心果敢的品质以及认真负责的工作态度。同时,对于展现任红院长反复强调的“重医二院是解决问题的医院”的大医风采,扩大我院在贵州遵义地区的影响必然有积极的宣传作用。
审核:刘作金 编辑:向秋月
作者:肝胆外科 游科
服务热线
服务热线
版权所有: 重庆医科大学附属第二医院 | Copyright @ 2016-2026 CQSAHCQMU.CN All Right Reserved. 渝ICP备15009793号-10 渝公网安备 50010302000990号
技术支持:瑞秀科技
