
新冠疫情来势汹汹,整个城市按下暂停键。然而疾病的发生率并没有因为疫情肆虐而降低。在这特殊时期,重医附二院神经外科救治急危重症患者的脚步一刻也没有停歇,生死交织的序曲每天都在上演。
患者重度昏迷 命悬一线 家属坚持抢救
11月16日,神经外科接诊一名重症脑干出血患者,重度昏迷、命悬一线,科室医生凌晨开始准备手术,奋战7个小时后,终于挽救了病人的生命!
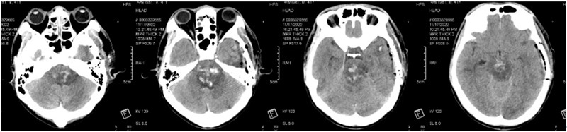
患者姚某某,41岁男性,是家里的经济支柱和精神支柱,患者于11月15日突发意识障碍,呼之不应,伴肢体抽搐,立即送往当地区医院,医院完善头部CT提示“脑干出血”,量约15ml!

术前ct
脑干是人体的“生命中枢”,素有“生命禁区”之称,脑干出血起病急、病情重、进展迅速,出血量超过10ml以上,死亡率几乎为100%。
“脑干出血,必死无疑,你可以拖回家去了。”当地医院医生向患者家属如实交代病情。
“没有一点希望吗?有一点希望我们就要救治·····”患者家属声泪俱下道。
抱着一线希望,患者家属联系到我院神经外科,科室汪峰副主任医师详细了解病情后,反复与家属交代了转院的风险,包括转运途中、术前、术中及术后任何时候都有可能随时死亡,且手术风险极高,甚至即便保住性命也有极大可能成植物人!
家属虽然心如刀绞,但是毅然决然地要求手术,表示不放弃一丝机会,愿意尝试一切有益的治疗手段。
畅通绿色通道 挑战生命禁区
肩负着患者家属的重托,本着“人民至上、生命至上”的救治理念,神经外科谢宗义主任决定勇闯“生命禁区”。
生命至上,闻“铃”而动。凌晨时分,一场紧张的生命救援就此展开。神经外科医生从凌晨开始做各项检查、诊断、制定救治方案等术前准备工作,11月16日清晨正式开始手术,由谢宗义主任主刀,文荣主治医师、汤俊医师辅助,通过紧急实施左侧颞下入路脑干血肿清除术,凭借娴熟的显微手术技巧,利用脑干安全区到达脑干血肿位置,历经7个小时最终清除了脑干内血肿。
一夜守护 终于化险为夷
术后第一天、第二天,患者没有呼吸!
术后第三天,患者有微弱的自主呼吸!
第四天、第五天,患者自主呼吸逐渐恢复,家属欣喜若狂!。
目前,患者病情好转,自主呼吸,即将转回普通病房。只要能挺过来,命算是暂时保住了!

术后ct
这样的结果,于家属而言是否极泰来的意外惊喜,于医者而言则是努力不放弃的最好回报。这是和死神抢病人,同时保住了一个家庭的希望!

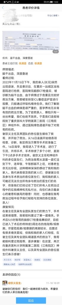
家属在好大夫在线写给谢宗义主任及团队的感谢信
类似的救治案例每天都在神经外科发生。越是急难险重,越需要我们担当作为。在重庆疫情防控工作最吃劲、最紧要、最关键的时期,重医附二院神经外科秉承着“人民至上,生命至上”的救治理念,尽心尽力地救治每一个病人,全力以赴地挽救每一条生命,做人民群众生命健康安全的坚强后盾!
作者:神经外科 肖露萍
初审:谢宗义 复审:周青 终审:李春莉
服务热线
服务热线
版权所有: 重庆医科大学附属第二医院 | Copyright @ 2016-2026 CQSAHCQMU.CN All Right Reserved. 渝ICP备15009793号-10 渝公网安备 50010302000990号
技术支持:瑞秀科技
