开栏语:一次常见疾病的精准施治,一场疑难杂症的拨云见日,一台手术的妙手回春……载起无数患者的健康渴求,支撑起生命的希望与重量。上游新闻记者将走进重庆医科大学附属第二医院,特别开设“重医附二院·宽仁好医生|对症技术”系列专栏,看宽仁医者如何发现“病情”、找准“病因”、对症“下药”,见证患者重燃生命、再获健康、拥抱明天。
右耳听力明显下降,偶尔还有头晕头痛的不适感,还以为是新冠病毒感染留下的后遗症,结果竟查出脑里有一个直径达5.2cm的听神经瘤!前段时间,重医附二院神经外科团队为这样一位患者成功全切了颅内罕见巨大听神经瘤,该术式难度极大、风险性极高,包括对脑干及周围组织的解剖、术中操作细节的把控、脑组织及神经血管等的保护、肿瘤的处理等环节,都要求医师技术要达到“走钢丝”般的精妙。
右侧听力下降、走路不稳
竟查出5.2cm听神经瘤
近两年来,33岁的力力(化名)感觉自己右侧的听力持续下降,到后来打电话都只得开免提,但这仍然没有引起她的重视。直到几周前,她全身乏力,走路总向一侧倾斜,这才在丈夫的劝说下,来到重庆医科大学附属第二医院神经内科就诊。
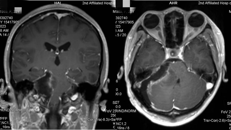
到医院一查,右侧桥小脑角区有占位性病变,在接诊医生的建议下,力力被转入该院神经外科,找到了该科主任谢宗义教授。经进一步检查,患者颅内病变直径达5.2cm,被确诊为:罕见巨大听神经瘤。

▲术前核磁共振成像(MRI)/图源 重医附二院
什么是听神经瘤?谢宗义介绍,听神经瘤是内听道前庭神经鞘膜施旺细胞的良性肿瘤,又称“前庭神经鞘瘤”,约占颅内肿瘤的8%~10%。患者早期常见症状表现为:眩晕、耳鸣和耳聋,可合并恶心呕吐症状。听神经瘤原发于内听道,逐渐向神经血管纵横交错的桥小脑角区发展,在其生长过程中,会压迫周围重要的结构,如耳蜗神经(听力信号传递)、面神经(面部肌肉运动)、三叉神经(面部感觉)、脑干(基本生命体征)、小脑(身体运动平衡)等。肿瘤越大,与这些结构的粘连越紧,甚至可能包裹这些神经,后期可导致严重症状,如站立和行走不稳,听力丧失、面瘫、偏瘫、昏迷等表现,甚至威胁生命。
一时间,力力难以接受自己年纪轻轻就患上肿瘤的事实。为此,谢宗义耐心地向她分析了病情及治疗办法,他指出,对于不同的听神经瘤患者要根据其年龄、病情、预期权衡利弊,综合分析后可以采取观察、手术、放疗等三种方案。
谢宗义进一步解释说,等待观察多适用于直径小于1cm的肿瘤,症状较轻,且瘤体生长较慢,较长时间内不会造成严重后果,可以选择“静观其变”。“像您这种情况,属于罕见的巨大听神经瘤,肿瘤已严重压迫小脑、脑干及颅内神经,尽管手术切除的难度大、风险高,但病情已经到了非做手术不可的地步。”谢宗义还如实告知了手术风险,巨大听神经瘤(肿瘤直径超过4cm)手术想要保留面神经功能难度系数很大,极易导致患者术后出现面瘫、眼睛无法闭合、口角歪斜、一侧面部僵硬无表情等并发症。
10小时手术抽丝剥茧
全切罕见巨大听神经瘤
听了谢宗义的解释和劝导后,力力逐渐平静下来,决定接受手术。“我可以接受术后的并发症,活着比外表重要太多了,您尽力而为便是。”患者的信任让谢宗义团队信心倍增,随即详细评估患者病情,制定了详尽的手术方案。
经过充分的术前准备,患者如期被推入手术室。谢宗义作为主刀医生,在手术团队的严密配合下,从离肿瘤最近的耳后入路,轻微牵拉小脑,暴露出巨大的肿瘤。

▲听神经瘤示意图/图源 重医附二院
肿瘤位于解剖结构相当复杂的桥小脑角区域,除了脑干和小脑外,还有耳蜗神经、面神经、三叉神经、吞咽神经、迷走神经等穿行其间,且由于患者的肿瘤过大,交错的神经已被压迫成薄如蝉翼的网。切除肿瘤过程中,需将这层神经纤维网与之分离,稍有不慎便可能撕开这层薄薄的网,损害神经功能。面对比预期更加复杂的情况,谢宗义并未退却。另外,肿瘤还和脑干粘连较紧密,手术当中难以分离造成脑干损伤,患者会出现肢体瘫痪、昏迷,甚至危及生命等可能。凭借丰富的临床经验和精湛的手术技巧,一方面最大程度地切除病变,另一方面将手术副损伤减少到最小程度。
听神经瘤手术最常见也是最难避免的并发症便是面瘫。患者肿瘤体积过大已将面神经压迫得菲薄,难以辨认,手术极易损伤,进而造成面神经的断裂,形成永久性面瘫,患者将会表现为眼睑闭合不全、口角歪斜等症状。为了让年轻的力力最大程度地“保留美貌”,在电生理监测下,谢宗义在手术显微镜下的操作精细而娴熟,他极其耐心、小心地在神经和血管间隙里分离肿瘤与神经组织、血管、脑干等,再一点一点仔细地从各个角度将肿瘤分块切除。
术中,谢宗义发现,体积巨大的肿瘤部分已深入患者的内听道。为彻底清除肿瘤,必须使用高速磨钻磨除部分骨质,显露内听道里的肿瘤。尽管操作难度非常大,谢主任仍镇定完成,并在切除肿瘤后,进行肌肉的填塞和生物蛋白胶固定,以防止脑脊液漏。

▲术后核磁共振成像(MRI)/图源 重医附二院
虽然手术抽丝剥茧般地进行了近10小时,所幸结果非常令人满意。术后患者未出现明显神经功能损伤,脑干功能正常,面部神经功能也得到了良好的保护。“感谢你们,让我回归正常生活了!”出院前,力力向谢宗义教授团队表达感谢。

▲患者送来锦旗表示感谢/图源 重医附二院
成熟掌握高难度颅内肿瘤手术
为周边患者高筑生命防线
神经外科手术是目前医学领域中的一门高、精、尖学科,被公认为医学上地位最高的领域。开颅手术被称作是“在万丈深渊上走钢丝”,每一个细微动作都要求精益求精,而颅内肿瘤中的听神经瘤更是这个领域的巅峰。该术式对主刀医生的医疗技术和手术水平要求非常高,更极大地考验着手术团队的协作精神、耐力、手术精细度、稳定度等,是医院综合实力水平的集中体现。据悉,全市目前仅有少数几家医疗机构能开展该项手术。
随着当前医学技术、理念的飞速进步,重医附二院神经外科不断精进现代显微外科理念中娴熟的分离、显露和精准的切除技术,持续革新手术设备、手术入路等,目前已经可以实现听神经瘤全切、颅神经完美解剖和功能保护,已累计超百例听神经瘤患者在重医附二院接受手术,无死亡病例,同时在神经导航、电生理监测的保驾护航下,术后的并发症也越来越轻,甚至不遗留任何不适。
不仅如此,在谢宗义的带领下,该科不断提高颅内肿瘤手术中的神经功能保全率,不仅常规开展了胶质瘤、脑膜瘤等常见颅内肿瘤的显微外科治疗,对于三叉神经鞘瘤、岩斜区脑膜瘤、脑干肿瘤等一系列神经外科领域高难度手术也已纯熟掌握。每年为200余位颅内肿瘤患者提供精准、高效、个性化医疗服务,为重庆及周边地区颅内肿瘤患者筑起生命防线。
就医指南》
在重医附二院官方微信公众号预约挂号:神经外科门诊,谢宗义主任(门诊时间:江南院区特需门诊 星期三上午)
服务热线
服务热线
版权所有: 重庆医科大学附属第二医院 | Copyright @ 2016-2026 CQSAHCQMU.CN All Right Reserved. 渝ICP备15009793号-10 渝公网安备 50010302000990号
技术支持:瑞秀科技
