71岁的江婆婆(化名)明明已经接受了“人工膝关节置换术”,原以为能扔掉拐杖摆脱关节疾病折磨,谁知却陷入了更剧烈的膝关节疼痛中,无法站立、夜不能寐。四处求医未果的她,最近终于在重庆医科大学附属第二医院骨科关节外科中心找到了“答案”。该科副主任医师程兴旺带领团队为其进行了高难度的人工膝关节“翻修”手术,术后疼痛即刻缓解,江婆婆终于能自由站立行走,重启晚年幸福生活。
“换膝”后剧痛难忍?
四处求医难觅答案
2021年,家住长寿的江婆婆(化名)因为“右膝关节反复疼痛数年”在当地医院接受了“人工右膝关节置换术”,术后早期可满足行走功能,自觉恢复不错,也慢慢回归了正常的生活。
谁知不久后,江婆婆就常觉右膝疼痛,口服止痛药也无济于事。由于惧怕疼痛,江婆婆选择尽量不下地行走。今年6月,她的病情加剧,不仅完全无法正常下地行走,连简单的屈伸动作都能引起VAS 7分以上的膝关节剧烈疼痛,令她难以忍受。
在家人的陪伴下,江婆婆带着膝关节的X片辗转重庆的各大医院求医,均未明确疼痛的原因,接诊医生予以的药物、康复训练、理疗等治疗方案,也未能明显改善剧烈的疼痛。经朋友推荐,他们最终找到了重医附二院骨科关节外科中心副主任医师程兴旺。

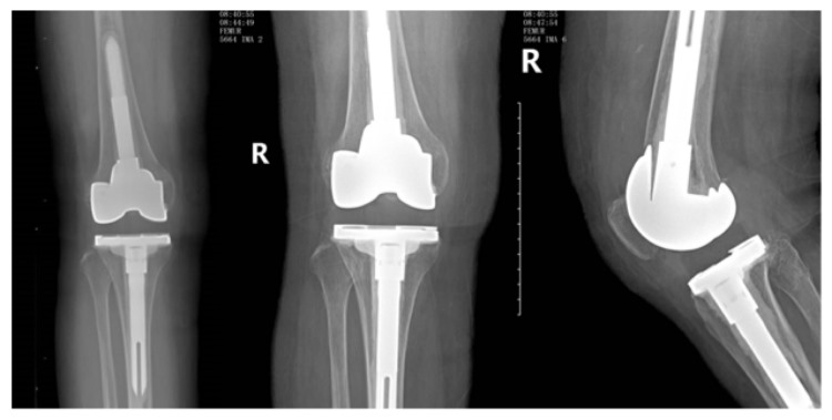
患者初次关节置换术后右膝关节正侧位X片/图源 重医附二院
经问询病史、仔细查体,以及结合临床与影像学检查,程兴旺对江婆婆的病情有了初步了解。患者右膝关节正位X片显示人工关节假体较大,部分悬挂出平台。凭借丰富的临床经验,程兴旺根据疼痛区域等“线索”,初步判断“髂胫束撞击”可能是患者膝关节疼痛的主要原因。入院后,他在患者的右膝外侧髂胫束附着点周围使用了“倍他米松+利多卡因”进行封闭治疗,疼痛症状得到短时缓解,进一步明确了患者疼痛部位。经关节中心的专家们多次讨论、反复权衡,并与患者家属沟通,取得一致意见后,拟为其行“右侧人工膝关节翻修手术”。
骨科专家“拆旧翻新”
为患者重塑“膝”望
充分的术前准备后,江婆婆的手术如期进行。术中,程兴旺发现其股骨侧的人工假体相对较大,部分悬垂出了股骨皮质——这就是导致江婆婆右膝剧烈疼痛的“元凶”。
程兴旺表示,目前国内常用的人工膝关节假体,大多参照西方人体膝关节的骨骼结构进行设计。所以安装假体时,很可能前后径适合,但横径却较大,超出膝关节的骨边缘。若选择的假体过大,造成假体部分悬垂、髌股关节过度填塞,会引起髂胫束后束处于紧绷状态,这样一来,患者屈伸膝时,髂胫束与股骨髁或股骨假体反复撞击,造成剧烈疼痛。

一系列复杂的手术操作一气呵成,程兴旺带领团队顺利完成该例复杂人工膝关节“翻修”手术,准确迅速为江婆婆安装了完全契合的人工膝关节,术后X片显示,假体稳定、位置良好。

患者人工膝关节“翻修”术后右膝关节X片/图源 重医附二院
术后第1天,困扰江婆婆近2年的疼痛明显缓解,膝关节屈伸过程中无明显疼痛感;术后第2天,即可主动进行膝关节屈、伸功能锻炼;术后第3天,可在助行器辅助下下地练习行走。一周后,江婆婆“欢天喜地”地出院了,“终于不再受关节疼痛的折磨,真的太感谢程医生了!”
膝关节是人体最复杂、负重最大的关节,也是最容易发生病变的关节。当保守治疗不能解决膝关节疾病时,全膝关节置换术是最有效的治疗方案。据不完全统计,我国每年人工膝关节置换手术量达30万例。
受益于科技日新月异的进步,该技术已日臻成熟,但仍有很多情况会引起术后膝关节疼痛。程兴旺介绍,明确膝关节置换术后疼痛病因很难,是每一位关节外科医生都绕不过去的“坎”,常见病因包括:手术操作引起的假体位置不良、力线异常、假体不匹配、屈伸软组织平衡不良等;应力遮挡引起的骨吸收、无菌性松动、屈伸功能障碍、感染等术后并发症;腰椎间盘突出、髋关节疾患、膝关节外畸形等关节外疾病……他提醒,关节置换手术后的患者,一旦出现关节部位疼痛异常,行走困难等症状,应尽早就诊,以免耽误最佳治疗时机。
关节翻修难度更甚
精耕细作助力重获行走力量
“人工关节置换手术”这一名词本身已让老百姓产生退缩心理,那么“人工关节翻修手术”更是让人“闻风丧胆”。的确,相比初次置换手术,“翻修术”决不是简单的“以旧换新”:术前疼痛原因分析、术中宿主骨骨量的保护、骨缺损的重建、神经血管的保护、关节周围韧带的平衡……手术医生需要面对较多的不确定性,难度更大、操作更复杂。详尽的术前计划,术中超强的应变能力,手术团队的密切配合,与初次置换完全不可同日而语,亦成为了目前衡量一个医院骨科关节外科技术水平的公认标准。
近年来,在重医附二院骨科关节外科中心主任聂茂的带领下,该中心发展迅速,在人工关节置换、人工关节置换翻修领域精耕细作,不断带来创新突破。针对初次关节置换患者,积极推行无痛化病房管理和术后的加速康复(ERAS),力求术后第一日下地行走、术后2~3日可达到出院标准。针对翻修及疑难病例患者,中心形成了疑难病例讨论机制,在多次讨论后再制定详尽的手术方案及术中、术后并发症预案,达到个体化、精准化的治疗,为无数关节疾病患者解除病痛。
作者:上游新闻
服务热线
服务热线
版权所有: 重庆医科大学附属第二医院 | Copyright @ 2016-2026 CQSAHCQMU.CN All Right Reserved. 渝ICP备15009793号-10 渝公网安备 50010302000990号
技术支持:瑞秀科技
