案例说明
患者小张(化名),是一位青年男性,因为意外导致肘关节恐怖三联征,在外院行手术治疗,手术很顺利,但小张的康复之路却非常不顺。术后数月来,他的肘关节屈伸功能始终康复欠佳,在进行暴力康复之后,甚至还出现了环指、小指的麻木和爪形手畸形。术后5个月时,经人介绍,小张来到重医附二院邹雨龙博士处就诊。
邹雨龙博士检查发现,小张此时的肘关节活动范围仅有30-50°,属于非常严重的僵硬。同时,他的环指、小指还存在麻木和感觉障碍,手部呈现出爪形手畸形,小指无法并拢。X片、CT检查发现,小张的肘关节出现了显著的异位骨化,导致他的关节僵硬和手指麻木、畸形。

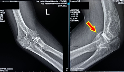
小张术前肘关节屈伸范围仅有30-50°

同时存在爪形手畸形(尺神经损伤)
手术经历与术后康复
在做完常规术前检查以及科室内部讨论后,邹雨龙博士为小张安排并主刀了肘关节松解术,由于异位骨化较多,位置紧邻神经且小张有显著的尺神经受压表现(手指麻木、爪形手),邹雨龙博士采取了小切口切开的方式,将异位骨化切除,同时彻底松解尺神经。

邹雨龙博士为小张施行肘关节松解术+尺神经松解术

左图:术前肘关节X线片示大量异位骨化形成
右图:肘关节CT显示,异位骨化广泛分布于肱尺关节、肱桡关节
手术后小张第二天即在邹雨龙博士指导下开始了康复锻炼,并很快顺利出院。术后3月时,小张返回重医附二院复查并行其余治疗。此时,小张的肘关节活动范围,已显著改善,基本达到正常范围,且没有显著疼痛,同时,手指麻木也完全消失,爪形手畸形也不复存在了。

肘关节松解术后3月,小张肘关节活动度基本恢复正常,手指麻木、爪形手消失
专科门诊介绍
上肢专病门诊
肘关节周围临近许多重要神经与血管(正中神经、尺神经、桡神经、肱动脉等),手术中损伤风险较高。因此,肘关节松解术需要在保护重要神经血管的前体下,以尽量微创的方式,对肘关节周围粘连组织进行彻底松解,是一项难度很高的手术。
重医附二院骨科关节外科---邹雨龙博士对肘关节、前臂、腕关节疾患的诊疗经验丰富,曾于美国芝加哥大学医学中心访学、北京积水潭医院进修学习肘腕关节诊疗相关技术,目前渝中、江南院区均已开设上肢专病门诊,为大量肘腕疾患患者提供了精准、专业的医疗服务。
上肢专病门诊自去年开设以来,我们通过线上、线下等多种方式,已接诊上百位来自全国各地的肘关节僵硬患友,其中一部分患者接受指导,进行正确的康复锻炼后,得到了较好的恢复。另有一部分患者僵硬时间本已较长、康复无效,我们为他们实行了相应的手术,取得了较好的疗效。
专家介绍

邹雨龙
医学博士,主治医师,讲师,美国芝加哥大学医学中心访问学者,重庆市医学会创伤分会青年委员。北京积水潭医院优秀学员。
专业领域:
肘关节疾患的微创治疗,肘关节僵硬(各种原因所致的肘关节屈伸、前臂旋转受限),肘、腕关节疼痛,肘、腕关节创伤,肘关节畸形、上肢陈旧骨折矫形,周围神经卡压等疾患的诊治。
主持肘关节创伤相关省部级科研项目1项,参加国家级和市级科研项目多项,以第一作者、通讯作者发表SCI论文3篇,总影响因子>20。
出诊时间:
上肢外科门诊:
每周四上午,706诊室,渝中院区
每周五上午,226诊室,江南院区
关节四肢门诊:
每周五下午,224诊室,江南院区
服务热线
服务热线
版权所有: 重庆医科大学附属第二医院 | Copyright @ 2016-2026 CQSAHCQMU.CN All Right Reserved. 渝ICP备15009793号-10 渝公网安备 50010302000990号
技术支持:瑞秀科技
