近日,重医附二院泌尿外科刘川教授医疗组凭借精湛的腹腔镜微创技术,为一名合并强直性脊柱炎、高血压的右肾巨大错构瘤患者成功实施保肾手术。手术中采用零缺血、免缝合技术,最大程度保护患者肾脏功能,术中出血少,患者术后第六天便顺利康复出院,这一成功案例展现了该院泌尿外科在复杂肾脏肿瘤微创治疗领域的高超水平。
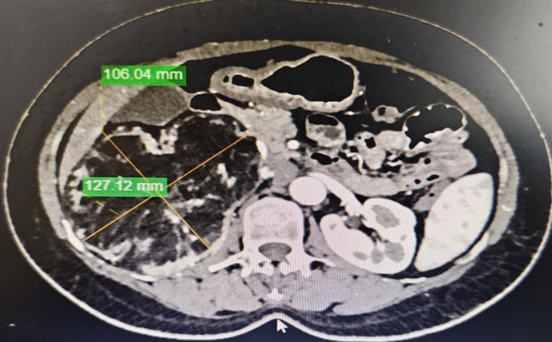
50余岁的患者张女士因强直性脊柱炎在当地医院复查时,意外发现右侧腹部有巨大占位性病变,CT检查显示病灶约成年人大号拳头并拢的大小(12.9cm×9.5cm×13cm)。当地医院无法明确诊断,张女士遂慕名前往重医附二院泌尿外科,找到刘川主任医师就诊。

腹部增强CT提示右肾周围存在巨大肿物。图源 重医附二院
入院完善各项检查后,刘川结合临床经验初步判断为右肾错构瘤。考虑到张女士还合并强直性脊柱炎、高血压等基础疾病,手术难度和风险大幅增加,刘川医疗团队为其制定了个性化的腹腔镜微创手术方案。
3月3日,刘川带领团队为张女士实施手术。术中发现,肿瘤与肝脏、肾上腺、十二指肠等多个重要器官紧密相连,稍有不慎便可能造成器官损伤。手术团队小心翼翼剥离肿瘤与周围器官的粘连,同时为避免肾脏缺血造成功能损伤,决定采用零缺血、免缝合技术实施手术。该技术无需阻断肾动脉血流,能最大程度保留正常肾脏功能,却对医生的手术技巧和临床经验有着极高要求。
凭借娴熟的腹腔镜操作技巧,手术团队历经近一个半小时的精细操作,成功将巨大肿瘤完整切除,全程未对患者肾脏造成缺血损伤,也无需对肾脏创面进行缝合。术后病理检查结果证实,该病变为右肾错构瘤,属于良性肿瘤,张女士得知结果后十分欣喜,对医疗团队连连道谢。在医院医护快速康复团队的精心照料下,张女士术后恢复十分顺利,于术后第六天顺利出院。

出院时与医护团队合影。图源 重医附二院
据了解,传统肾部分切除术需阻断肾动脉血流,肾脏缺血会造成不同程度的功能损伤。而零缺血免缝合技术能有效避免这一问题,最大程度保护肾脏功能,目前国内仅有少数医院能开展此项技术。重医附二院泌尿外科已成功开展该技术数年,完成数十例复杂手术,未来科室将继续深耕复杂泌尿疾病诊疗,为更多患者的健康保驾护航。
来源:上游新闻
服务热线
服务热线
版权所有: 重庆医科大学附属第二医院 | Copyright @ 2016-2026 CQSAHCQMU.CN All Right Reserved. 渝ICP备15009793号-10 渝公网安备 50010302000990号
技术支持:瑞秀科技
