患者为53岁的中年男性,41年前曾因先天性心脏病法洛四联症行外科手术。5年前因室性心动过速在我院心血管内科行射频消融术,术后无特殊不适。9月前,患者反复出现活动后心悸、气促,心悸持续不缓解,伴双下肢水肿,予以强心利尿后,稍有缓解。10天前,患者心悸、活动后症状加重,行心电图示“心房扑动”给予胺碘酮治疗后,症状缓解不明显,生活质量大大下降。
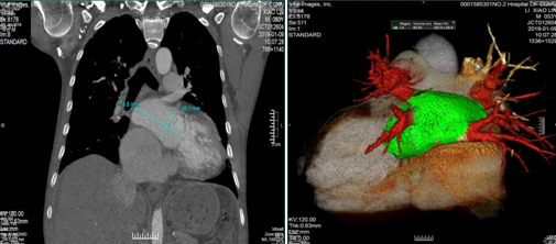
再发心律失常对于该患者来说无疑是一个噩耗,都说男人中年活得最辛苦,是爸妈的靠山,是家里的顶梁柱,是儿女生活的源泉。健康的身体最重要。患者听说,射频消融术能够根治房扑,改善房颤患者的生活质量,源于信任,遂前往心血管内科行房扑射频消融术。完善一系列术前检查后,医生们却犯难了,心脏彩超提示左房前后径49X36X68mm,右房横径64mm,LV:55mm;RV:34mm;EF:41%,肺血管螺旋CTV示:左心房左右径:86.8mm;前后径43mm,上下径:48mm。对于这么大的心房,有效标测是一大难点。

经过殷跃辉团队仔细评估病情,了解患者和家属诉求和强烈治疗意愿后,决定使用Rhythmia高精密度标测系统对患者进行标测消融。Rhythmia Orion网篮电极标测系统是目前针对复杂心律失常最尖端的“武器”,目前在国内只有少数几家医院开展。心血管内科已在去年8月份在Rhythmia Orion标测下成功消融了一例左房起源的复杂房扑,取得了良好的成效。

2019年1月11日,殷跃辉团队经过充分的术前准备,决定采用Rhythmia高精密度标测系统对患者实施射频消融手术。患者为巨大右心房,心脏明显转位,且曾因法洛四联症行外科手术,心脏结构异常复杂。虽经过了充分的困难准备,但手术一开始就遇到了困难,要进行复杂心律失常标测,冠状窦电极是必不可少的步骤,由于患者心脏结构复杂,右房巨大,经过反复尝试仍不能经股静脉途径将冠状窦电极置入冠状静脉窦,术中不得不临时改为经锁骨下途径放置冠状窦电极,经过约半小时的反复尝试方才将冠状窦电极成功放置到位。不过这仅仅是困难的开始,普通患者右房的标测是相对简单的,本中心已有上千例的经验,但该患者心房巨大,导管到位极其困难。此时Rhythmia Orion网篮电极的优势就体现出现来了,其电极较多,标测精度高,再经过耐心、仔细的标测后发现为三尖瓣峡部依赖性房扑,这时大家长舒了一口气,遂计划行三尖瓣峡部线性消融。不过,同样由于患者心房大,三尖瓣峡部异常长,导管不能良好的贴靠,肖培林博士不得不将消融导管拿出体外反复塑型,并在Lasso电极的辅助下完成了峡部消融,平时10分钟干完的事情,足足干了1小时。经过大家的努力最终患者房扑终止,转为窦性心律。术者肖培林博士感叹道:再也不要说典型房扑简单啦!

这么大的右房也许是我们房颤中心行房颤射频消融术以来遇到的最大的一位,但在我们医务人员的努力下,终于战胜了困难,减轻了病人因房扑带来的不适症状。我们主任常常说:“我们要当好一名医者,更要当一名有温度的医者。”相信在病人的信任下,在主任的带领下,我们的团队将会更加努力,不断开拓创新,迎难而上,忧病人之所忧,为更多不幸罹患复杂心律失常的患者更好的治疗。

审核:肖培林、苏立 编辑:向秋月
作者:心血管内科 甘春霞
服务热线
服务热线
版权所有: 重庆医科大学附属第二医院 | Copyright @ 2016-2026 CQSAHCQMU.CN All Right Reserved. 渝ICP备15009793号-10 渝公网安备 50010302000990号
技术支持:瑞秀科技
