2018年3月6日,重医附二院风湿免疫科收治一名46岁的中年男性患者,因“间断发热2月余,咳嗽、喘累20余天”由外院转入我院。
入科后完善相关检查,诊断无肌病性皮肌炎伴间质性肺炎(抗MDA5抗体阳性),抗MDA5抗体阳性的患者间质性肺炎进展迅速,预后差,死亡率高,诊断明确后立即予以甲泼尼龙500mg冲击治疗,联合环磷酰胺治疗,同时予以莫西沙星抗感染,患者体温逐渐正常,咳嗽、呼吸困难缓解,病情逐渐稳定。
2018年3月22日,患者突然出现右侧颈根部皮下气肿,胸部CT平扫示颈根部及纵膈积气(见下图),双肺间质性肺炎,考虑病情加重,立即下达病危通知,持续氧疗,调整免疫抑制剂,同时护理团队加强护理治疗。

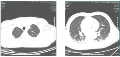
通过全科室医护人员的共同努力,患者的皮下气肿、纵膈气肿逐渐吸收,2018年4月3日复查胸部CT(见下图),患者的皮下积气、纵隔积气较前明显吸收减少,双肺间质性肺炎无明显变化,目前病情稳定,拟近日出院。

在一个多月的时间里,患者的病情逐渐控制,精神状态越来越好,已经开始打算重返工作岗位,他们全家非常感谢重医附二院医疗团队,该患者的成功诊治充分体现了重医附二院风湿免疫科疑难危重症的诊疗水平!
审核:唐琳 编辑:李娇
作者:风湿免疫科 罗蕾
服务热线
服务热线
版权所有: 重庆医科大学附属第二医院 | Copyright @ 2016-2026 CQSAHCQMU.CN All Right Reserved. 渝ICP备15009793号-10 渝公网安备 50010302000990号
技术支持:瑞秀科技
