技术介绍
ERCP技术,即经内镜逆行胰胆管造影技术,是利用十二指肠镜,经过口腔、食道、胃,到达十二指肠降段,对胆道或胰管插管、造影,达到诊断、治疗胆道、胰腺疾病的目的。

ERCP胆管插管示意图
一方面,它可以用于诊断,经十二指肠乳头插管至胆管或胰管注入照影剂,从而逆行显示胆胰管,了解胆道及胰管病变情况;如内镜下观察十二指肠乳头有肿瘤改变,行病变钳取活检术。一方面,它还可以运用于治疗,具体的方式是先行逆行胆胰管造影检查,然后对具体病变进行治疗,包括经十二指肠镜胆道及胰管结石取出术,胆管、胰管支架置入术,胆管、胰管肿瘤消融术。

ERCP十二指肠乳头切开示意图
而这项技术的优点在于:不开刀,痛苦小,创伤小,治疗时间短、费用低、恢复快。最重要的是,该技术无需开腹手术即可彻底治愈胆总管结石和多种胆道良性梗阻性黄疸,对胆道恶性梗阻性黄疸也能达到减黄的目的等,而且不受多次手术后胆总管粘连和年老体弱的限制。这项手术操作要求非常精细,难度较大,但优势也很明显:手术创口小,患者3天左右就能出院。
取石网篮取石示意 |
碎石网篮碎石示意图 |
取石球囊取石示意图 |

ERCP胆管塑料支架植入示意图
ERCP微创技术不仅能运用于取结石,还能诊断及治疗多种肝胆类疾病,主要的适应症有以下4类:
1.胆道梗阻:胆总管结石、急性梗阻性化脓性胆管炎、胆道良性狭窄,胆道肿瘤或胰腺肿瘤至梗阻性黄疸。
2.胰腺疾病:胰腺肿瘤、急性胆源性胰腺炎、慢性胰腺炎、胰管结石、胰瘘、胰腺假性囊肿等。
3. 疑有先天性胆道异常或胆囊切除术后症状再发者。
4. 胆漏、胆道损伤。
实施案例
病例一
患者,男,56岁,因“腹痛、身黄眼黄2周”入院。
入院诊断:胆总管结石,胆囊结石伴胆囊炎,酒精性肝硬化失代偿期。
诊疗过程:因重度凝血功能障碍,予以外科手术或内镜下治疗均有发生不可控制的大出血。予以抗感染、保肝及经皮经肝胆囊穿刺引流术等保守治疗3个月,凝血功能有所好转后抓住手术时机,立即行ERCP,术中见结石嵌顿于十二指肠乳头(胆总管末端开口处),立即予以针刀切开十二指肠乳头,顺利取出胆总管结石,解除长达3个月的胆总管梗阻,术后患者很快就拔除胆囊穿刺管,恢复正常生活。

术前MRCP
内镜下见结石嵌顿于十二指肠乳头 |
取出结石 |

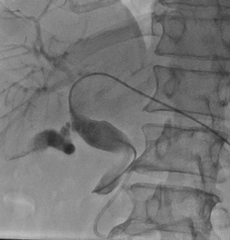
取出结石后内镜下逆行胆道造影,提示胆总管全程通畅
病例二
患者,男,73岁,反复剑突下疼痛3月,眼黄、身黄2周。
术前诊断:胆总管末端肿瘤,梗阻性黄疸。
诊疗过程:患者高龄,一般情况差,手术风险高,患者及家属选择ERCP胆道支架植入及光动力治疗(不开刀、经自然腔道的微创手术,患者痛苦小)。ERCP术中因胆总管下段闭塞导丝不能进入胆总管,但是胰管插管成功,予以放置胰管支架(可改善胰管引流不畅,减轻胰管高压,改善消化功能);二期予以经皮经肝胆管穿刺(PTC)成功放置胆道支架(同样为微创,只需皮肤切开3mm的小口);待患者黄疸消退、全身情况改善后予以内镜下胆道肿瘤光动力消融术。术后多次复查腹部CT均提示胆总管下段肿瘤呈坏死的低密度灶,无复发征象。
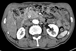
术前提示肝内外胆管扩张,胆总管末端强化 | |
内镜逆行插管仅进入胰管,胆总管下段闭塞,插管不成功;内镜下放置胰管支架。 | |
经皮经肝胆道穿刺顺行疏通胆总管 |
胆管支架放置成功,造影剂顺利经支架流入肠道 |

患者黄疸消退、全身情况好转后予以内镜下胆管肿瘤光动力消融治疗


术后3月复查胆管下段病灶无强化,提示病灶无进展


术后6月复查CT显示胆管下段病灶仍无强化,提示病灶无进展
服务热线
服务热线
版权所有: 重庆医科大学附属第二医院 | Copyright @ 2016-2026 CQSAHCQMU.CN All Right Reserved. 渝ICP备15009793号-10 渝公网安备 50010302000990号
技术支持:瑞秀科技











