技术介绍
肝癌介入治疗全称经动脉导管肝癌化疗栓塞治疗,是采用的在不开刀暴露病灶的情况下,在血管、皮肤上作直径几毫米的微小通道,或经人体原有的管道,在影像设备(血管造影机、透视机、CT、MR、B超)的引导下对病灶局部进行治疗的创伤最小的治疗方法。肝癌介入治疗是指经股动脉插管将抗癌药物或栓塞剂注入肝动脉的一种区域性局部化疗.它是非开腹手术治疗肝癌的首选方法,其疗效已得到肯定。
根据NCCN美国癌症治疗指南,介入治疗已经被公认为中晚期肝癌的首选治疗。采用局部靶向药物灌注、肿瘤血管栓塞及氩氦冷冻消融等方式集中杀灭肿瘤细胞,最大限度地降低肿瘤负荷(减少恶性肿瘤数量、体积),并结合CIK细胞过继性免疫治疗、抗肿瘤血管生成药物等,在临床取得了良好的治疗效果,有效地改善了患者的生存质量,延长了生存时间。并可逆转部分患者肝癌分期,使不能切除的肝癌病例转化为可切除的肝癌病例。
传统的肝癌介入路径为经皮经股动脉穿刺,穿刺点通常为腹股沟韧带下缘股动脉搏动处,穿刺成功后置入血管鞘,然后通过对导管导丝的操作,实现对靶血管的超选择,最后对肿瘤实施化疗栓塞。该路径的优点在于:穿刺动脉较为粗大,穿刺简单直接;穿刺点到目标血管路径直接且简短,医生操作起来简单顺畅;该穿刺点的可重复性也较高。其缺点在于:最为突出的不利之处是术后患者穿刺侧肢体的制动,严重限制了术后患者的活动,无法下床,甚至不能在床上活动。极大地降低了患者术后的住院生活质量,增加了血栓形成风险,增加了患者术后的身体应激反应和心里的不适感,延长了患者的康复时间;同时,股动脉穿刺点易发生局部并发症,如出血、血肿等,术后压迫器的移位等;再者,也给陪同的护理人员造成的更多的护理工作,造成更多的医疗资源的浪费。
我中心改变介入路径,实施桡动脉途径肝癌介入治疗,常于左手桡骨突近心端约1cm处寻找桡动脉搏动作为穿刺点,穿刺成功后置入血管鞘,然后实施对肝肿瘤的化疗栓塞,其主要意义在于:显著改善了患者的术中及术后生活质量,患者术后无需制动下肢,可正常行走,减轻了手术应激和减少了患者的主观不适,促使患者能快速的康复,也避免了长时间卧床导致静脉血栓的风险;其次,桡动脉位置表浅,更易于寻找和压迫,发生局部血管不良事件几率大大降低;同时,也一点程度的降低了患者对护理的需求,减轻了患者的经济和心理负担,节约了更多的医疗资源。
桡动脉介入步骤:
1.桡动脉穿刺:桡动脉穿刺成功后置入学管鞘。



2.置入造影导管,选择学管造影:



3.找到肿瘤学管,栓塞肿瘤学管

4.栓塞后造影,明确效果

5.拔除血管鞘,压迫止血

病例分享:
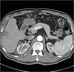
患者男,51岁,发现肝脏占位1周入院,入院后积极完善相关检查,CT提示患者肝脏巨大占位,门静脉受侵犯可能,已无法行外科根治性切除,经MDT讨论拟定行经桡动脉入路肝癌介入治疗+靶向治疗。患者介入手术后3月余肿瘤明显缩小,最后手术切除,获得肿瘤根治。
术前CT:


术中造影图片:

栓塞后图片:

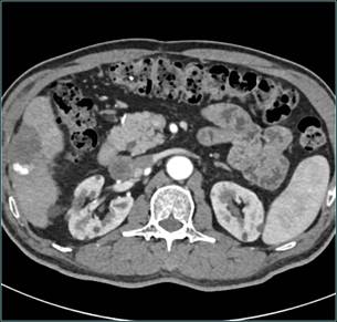
介入术后3月余复查CT(肿瘤明显缩小,失去血供):


服务热线
服务热线
版权所有: 重庆医科大学附属第二医院 | Copyright @ 2016-2026 CQSAHCQMU.CN All Right Reserved. 渝ICP备15009793号-10 渝公网安备 50010302000990号
技术支持:瑞秀科技
