

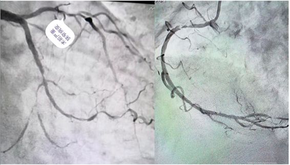
刘大娘今年70岁,家住秀山县。因“上腹疼痛1月余,腹胀纳差6天”到重医大附二院秀山分院消化内科住院,伴有糖尿病、高血压病史多年。入院后查心电图及肌钙蛋白异常,经过心内科医生会诊后考虑为急性非ST段抬高型心肌梗死,立即转入心内科治疗,紧急行冠脉造影提示冠脉三支病变:前降支近段至中段弥漫性病变伴严重钙化,狭窄最重达90%;回旋支中远段弥漫性病变,狭窄最重达85%;右冠最重病变狭窄程度达95%。
由于病情十分危重,经过规范的冠心病药物治疗,胸痛症状仍没有明显好转;病变处钙化非常严重,于前降支病变处行球囊扩张时,球囊无法扩张。就在刘大娘及家属处于绝望边际之时,在秀山分院挂职副院长的重医大附二院心血管内科陈运清教授了解情况后,多次组织心内科医生讨论病情、制定治疗方案,并反复与大娘及家属沟通,最后终于打消顾虑,一致决定择期行血管内超声指导下(IVUS)的冠脉旋磨术和冠脉介入治疗。




没有金刚钻,不揽瓷器活。”7月19日,手术由陈运清教授主刀,首先进行了IVUS检查,提示冠脉病变呈360°钙化;随后,对病变处成功进行了冠脉内旋磨术和支架植入术,并用IVUS复查证实支架覆盖全部病变且贴壁良好,完成血运重建。术后,大娘病情好转,疼痛症状明显消失。26日,阳光普照,当陈教授来到心血管内科A区5号病床时,刘大娘和家人们正在收拾东西准备办理出院。陈教授悬着的心终于落下来了,走到大娘身旁关切地询问病情时,大娘一把握住他的双手,激动地说:陈教授,多亏了您治好了我的病,现在胸口不痛了,胃口好了,吃啥都香了!没想到在这偏远山区,咱老百姓也可以找到大医院的专家来治病!
近年来,我国居民生活水平不断提高,冠心病的发病率高居不下,成为威胁人类生命健康的重要杀手。而冠脉钙化病变在冠心病患者中发病率极高,是冠脉介入治疗最难以处理的病变之一。随着医疗水平提升,虽然冠脉内钙化病变旋磨术已经能够很好地解决这个难题,并逐步广泛应用于临床实践中。但基于冠脉钙化病变的特殊性,进行旋磨手术时很容易出现无复流、血管破裂等严重并发症,对介入术者的手术经验和临床处理并发症的处理要求非常高。目前,在重庆只有规模大且有丰富经验的介入中心才能独立开展该手术。而重医大二院秀山分院在陈运清教授的带领下率先在渝东南乃至渝东地区成功开展IVUS指导下的冠脉钙化病变旋磨术,标志着其介入水平正不断向三级医院水平靠拢!


扶之初,重医大附二院秀山分院心血管介入技术薄弱,自2018年11月陈运清教授派驻秀山任挂职副院长开始,充分发挥自身专业优势,不断提升心血管内科介入技术水平。通过指导术前准备、引导正确的术前沟通规范手术流程;组织介入中心医务人员对手术患者进行复盘、读片,在实战中讲授介入手术技巧;以“请进来”、“走出去”的方式加强培训指导;对学习进步快、经过评估可以胜任部分介入手术的医务人员,放手不放眼,使他们尽快地熟练掌握介入技术。积极开展新技术,已指导帮助秀山分院成功开展单腔和双腔起搏器植入术、经桡动脉入路冠脉造影术等十余项新技术,其中,冠脉慢性闭塞(CTO)病变介入术、血管内超声(IVUS)技术和冠脉钙化病变旋磨术在渝东南地区乃至渝东片区处于领先地位。主刀完成介入手术共513例,没有出现一例严重并发症,手术成功率达98.9%。
自2013年11月加入重医大附二院医联体以来,通过下派专家团队近6年的全力帮扶,秀山分院综合服务能力不断提高,影响力逐步扩大,并于2016年底成功创建成为二级甲等医院。重医大附二院也将继续围绕从“输血式”到“造血式”转变的帮扶目标,不断夯实县级医疗机构学科人才团队基础,持续提升综合服务水平,并最终实现分级诊疗目标!
服务热线
服务热线
版权所有: 重庆医科大学附属第二医院 | Copyright @ 2016-2026 CQSAHCQMU.CN All Right Reserved. 渝ICP备15009793号-10 渝公网安备 50010302000990号
技术支持:瑞秀科技
