左半边脸长满肿瘤,颅内也有肿瘤,最大有近15cm,面部容貌、神经都被肿瘤侵蚀……当想到这一幕发生在24岁的年轻女性身上时,很多人都震惊不已。庆幸的是,日前,重医附二院神经外科、整形与颌面外科等学科共同为患者小辉(化名)完成了颅内外沟通巨大肿瘤联合切除+游离背阔肌瓣转移修复术。在历经15小时,交替接力手术后,肿瘤被成功切除,她的容貌也得到恢复。这到底是怎样一台高难度的手术?
颅内外长满巨大肿瘤
需要多学科联合诊治
其实小辉患的颅内外沟通巨大肿瘤,不是在短时间内发生的。小辉19岁时,因不幸患了左侧中颅底肿瘤,在外院做了手术治疗,手术很顺利,但病理结果是:恶性孤立性纤维性肿瘤。
这种肿瘤恶性程度高,复发率也高。幸运的是,小辉活过了4年。2020年5月,在一次例行复查中,肿瘤被发现复发了,有鹅蛋大小。带着希冀,小辉和家人四处求医,但得到的答案是“你这个肿瘤最大径近15cm,颅内颅外都有,切又切不完,而且又是恶性肿瘤,切不切意义都不大”。
令人难以想象的是,在短短一年里,肿瘤从鹅蛋大小爬满了小辉的左侧颌面部,容貌、神经都慢慢被侵蚀:嘴不能完全闭上、左侧鼻唇沟变浅、面部也变得麻木。

今年6月15日,带着最后希望的小辉妈妈带着她来到重医附二院神经外科。仔细查看了小辉的片子,再看到她瘦得弱不禁风,陈维福主任医师不忍心拒绝。“你这个肿瘤比较大,颅内外都有,肿瘤位置太深,又是恶性肿瘤,很可能切不完,即便切了可能短期内会复发。但如果实在要切,我们愿意尽力一试”。
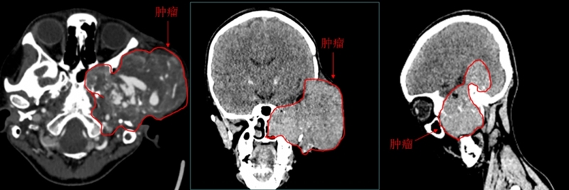
小辉被收治入院,但经过相关检查发现,情况比想象中还要复杂和困难。神经外科学科带头人程远教授阅片后指出:肿瘤已经长到了视神经管后方,毗邻海绵窦,肿瘤还突进了翼腭窝、鼻腔内,向后也毗邻了咽后壁,岩骨、乳突、颞部骨质均被肿瘤侵蚀,颞下颌关节受到了破坏……患者肿瘤颅内外沟通,体积大、位置深,手术治疗难度高、风险大。


为了尽快给出治疗方案,神经外科主任谢宗义教授立即组织科室进行大讨论。肿瘤巨大,累及重要的解剖结构,而且血供丰富,瘤体内大血管穿行,这意味着手术可能出血多。但对于神经外科擅长血管治疗专业组而言,他们也有应对方法,可以在术前先行造影,明确肿瘤的供血动脉,在情况允许下予以介入栓塞,减少术中出血,然后再切除颅内外肿瘤。
不过,要完成这个手术,还需要得到其他学科的支持帮助。因颌面部肿瘤占位大,肿瘤切除后面部凹陷容貌严重毁损,而术后面容修复等问题并非神经外科特长,这就需要请整形与颌面外科一起处理。此外,因肿瘤突入鼻腔,还需要请耳鼻喉科协助评估鼻腔的肿瘤。
全院会诊讨论治疗方案
两学科联手做高难度手术
为尽可能切除肿瘤,提高患者的生存质量,6月18日,医院组织全院会诊,神经外科学科带头人程远教授主持了会诊并详细介绍了小辉的病情。
“患者肿瘤与周围血管丰富,虽然皮肤尚完善,但不排除皮肤受侵,为保证患者美观及延长生存时间,颅内外的肿瘤需尽可能切除。”整形与颌面外科主任夏德林教授经评估后提出建议,并针对颌面部肿瘤切除后,左侧面部塌陷、容貌严重受损问题给出解决方案:取患者的背阔肌与颈外血管游离搭桥,填塞颌面部瘤腔,再进行颌面部修补。
耳鼻喉科苏俊波副主任医师也给出诊治意见,“因肿瘤侵及鼻部的翼腭窝、蝶窦及上颌窦等位置,为明确肿瘤侵犯鼻腔的情况,建议在术前完善电子鼻内镜、鼻咽镜。”同时对术后可能出现的并发症给出应对方案:由于鼻部部分骨质被破坏,可能导致术后出现鼻漏,这种情况可用钛网等支撑。
有了相关学科给出的专业性建议,整形与颌面外科也应战和神经外科一起手术,共同联手制定了详细周密的手术预案。
万事俱备只欠东风。6月23日,神经外科在介入室对小辉进行了全脑血管造影,明确肿瘤供血动脉,并尽可能栓塞了颈外的供血动脉,为第二天顺利手术奠定基础。
6月24日,早上9点,在麻醉科、手术室、输血科的鼎力配合下,神经外科和整形与颌面外科紧密合作,正式开始惊心动魄的交替接力手术。

首先,需要在切除颌面部肿瘤时,尽可能的保护微小血管供游离皮瓣吻合,这其实是手术难点,整形与颌面外科的夏德林教授、周航宇主治医师游刃有余地完成肿瘤切除。
其次,神经外科学科带头人程远教授坐镇,陈维福教授、蒋永祥主治医师接过“接力棒”,任务是切除血管丰富的、纵横交错的颅内肿瘤。但中颅底及翼腭窝肿瘤切除,不能发生脑脊液漏,还要避免发生伤口愈合不良甚至严重的感染,否则将导致灾难性后果。
然后,是行带血管的游离背阔肌及前锯肌瓣,填塞瘤腔恢复面部外形并行血管吻合,这一步必须争分夺秒,需要在显微镜下对1-2mm的血管放大很多倍快速完成吻合,才能保证游离肌瓣的存活。而夏德林教授、周航宇主治医师仅用时30分钟,让面部容貌恢复得到保障。
最后,进一步修补患者容貌,这是提高术后生活质量的关键一步,在耗时近6小时后,两个团队再次修补了颅底及颌面骨质。其实,这一步同样惊险,因为如果发生脑脊液漏,预后也会严重受到影响。
“整个手术历时15个小时,出血近3000ml,手术每一个环节都非常惊险,而且一环扣一环。”陈维福教授和夏德林教授都持相同观点,表示幸好两个手术团队的协同作战能力都非常强。

术后6小时,小辉苏醒,CT复查术区,未见明显出血,也未出现其他异常情况。小辉的家人对手术医生们十分感谢,“是你们让给孩子的生命得到延续,是你们给了孩子重生的希望。”
颅内外沟通肿瘤较复杂
患者需要早发现早诊治

“经过医护团队精心的治疗,目前小辉恢复良好,很快就可以康复出院。”陈维福教授表示,如果她能早发现早诊治,预后会更好。
近年来,我国头颈部恶性肿瘤发病率逐年增加,外科手术常是首选治疗方法。但颅内外沟通肿瘤在临床上较为复杂。颅内即整个颅腔,颅外为整个头部,其诸多器官、神经与颅内相通,因此,肿瘤处理起来非常棘手。就像小辉这个肿瘤,就是复杂的多学科交叉的疾病。不仅需要切除肿瘤避免扩散,更需要重建恢复相关器官功能,再加上患病位置特殊,如果考虑患者今后生活质量,又牵涉到切除后修复重建等问题。这就要求治疗时不仅要有雄厚的综合医院学科实力做保证,又需要相关科室密切配合。
不过,神经外科、整形与颌面外科两个科室挑战高难度手术的经验非常丰富。神经外科颅内肿瘤专业组在程远教授和谢宗义教授的带领下,致力于脑胶质瘤、脑膜瘤、垂体腺瘤、颅咽管瘤等颅内肿瘤的规范化治疗,显微手术和神经内镜辅助下微创手术达国内领先水平。
而整形与颌面外科是今年6月初整合成立的全新科室,学科下设整形外科、颌面外科、医学美容中心三个亚专业,拥有手术显微镜、颌面微动力手术系统等大型医疗仪器设备,能为头颈、颌面疾病患者提供一体化整合医疗服务。这次手术两个科室密切配合,就能最大程度地在保证医疗质量的同时,提高患者生存质量。
但需提醒的是,临床上颅内外沟通肿瘤早期症状通常不明显,但若出现清晨头痛、喷射性呕吐、精神障碍、视力骤降、半身不遂等颅内肿瘤预警信号时,需引起高度重视,及时到有条件的医院就诊,行头部CT或MRI以明确诊断,避免延误治疗。
服务热线
服务热线
版权所有: 重庆医科大学附属第二医院 | Copyright @ 2016-2026 CQSAHCQMU.CN All Right Reserved. 渝ICP备15009793号-10 渝公网安备 50010302000990号
技术支持:瑞秀科技
