近年来,急性酒精中毒成为了急诊科最为常见的就诊疾病之一,轻度酒精中毒患者常常会出现情绪、语言兴奋等表现,而严重者可能出现昏迷、窒息、死亡等。


最近上海的吴先生来渝旅行时就经历了急性酒精中毒致误吸窒息的生死一刻,最终经重庆医科大学附属第二医院急诊科、呼吸内科、重症医学科等多个科室快速响应,通力协作,与死神赛跑最终取得了成功。现吴先生已康复出院,回到家乡与亲人团聚。
来渝旅行“豪饮”中毒
重医附二院120紧急出动
10月31日,47岁的吴先生与亲朋好友相约来到重庆游玩。酒桌上,兴致高涨的他不免多饮了几杯,随后逐渐出现呕吐、嗜睡等表现。休息一段时间后,吴先生的不适症状并未明显缓解,其妻子连忙打电话求救。接到消息的重医附二院急诊120,第一时间赶往现场救治,查看患者情况后,予以吸氧、保护气道等对症处理,并快速将患者转移回医院进行救治。
120救护车刚到医院,危险再次降临!吴先生因呛咳,出现误吸窒息。急救团队立即采取措施:气管插管、呼吸机辅助通气、胸外按压、吸痰清理异物……经过抢救,心电监护上患者的血氧饱和度、心率一点一点回升,生命体征逐渐趋于平稳。但这并没有让医护人员们悬着的心完全放下。这是因为,患者考虑误吸,还可能存在气道堵塞、吸入性肺炎、重症肺炎、缺血缺氧性脑病等更多不可预知情况。
多科接力急救
齐心“抢”回酒精中毒患者

(急诊抢救室,患者生命体征不稳,急救团队组织抢救)
医护人员们一刻不停地继续为患者努力着!治疗过程中,呼吸机频频报警,提示“呼吸机送气困难”,床旁胸片提示患者整个左肺气道堵塞严重。患者情况危在旦夕,急诊两位主任得知消息,深夜立即赶赴医院,指挥、参与抢救。当务之急,是需要立即解除气道梗阻。在呼吸内科、重症医学科的协助下,行床旁纤维支气管镜检查以期清除异物。
另一边,心电监护也响起尖锐的警报声,吴先生的心率、血压、血氧饱和度逐渐下降,血气分析提示严重酸中毒,PH下降至6.8,PCO2高到测不出,患者已经出现严重内环境紊乱……时间就是生命!急救团队一边持续胸外按压、肾上腺素静推、提升血压、纠正酸中毒等治疗维持生命体征,一边紧急廓清气道异物。

(急诊抢救室,行纤支镜检查清除气道异物)
因患者的气道异物较大且多,急诊纤支镜仅能吸出部分异物,经过两小时艰难抢救,患者生命体征虽暂趋平稳,但解除气道梗阻亟需解决。紧接着,呼吸内科接过抢救的接力棒,吴先生被转至呼吸内科行支气管镜冷冻治疗,镜下再次取出较多异物,床旁胸片提示患者左肺恢复透亮,至此,吴先生的气道梗阻终于得以解除,医护人员们总算将他从“鬼门关”抢了回来。

(呼吸内科支气管镜冷冻治疗术)
患者“飞跃”死亡线
重医附二院持续守护百姓健康

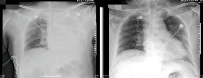
( 急救后,胸片对比)
之后,在康复科和营养科共同为患者制定了治疗、营养、康复方案,在他们专业和积极的保障下,患者神志恢复并逐渐撤机拔除气管导管。在医护人员一周的努力下,患者恢复良好,认知、语言、活动、心肺功能均未受明显影响,终于转危为安、恢复健康。
正是有了重医附二院多学科医护人员齐心协力,吴先生才得以有惊无险。重庆医科大学附属第二医院秉承“百年宽仁、关怀永恒”的理念,始终把人民健康放在第一位,正是这样的多学科精诚合作、密切配合,在危急关头才能挽救更多患者的生命,持续守护一方百姓安康。
服务热线
服务热线
版权所有: 重庆医科大学附属第二医院 | Copyright @ 2016-2026 CQSAHCQMU.CN All Right Reserved. 渝ICP备15009793号-10 渝公网安备 50010302000990号
技术支持:瑞秀科技
