不开刀,照样能取出肝内胆管结石。不信!那我们从患者周某说起......
患者周某,今年60岁。从记事起就经常出现寒战、发烧、肚子痛,一直以为自己抵抗能力弱、容易感冒、胃肠功能不好。周某30岁时终于无法忍受病痛的折磨,于当地医院就医,通过检查确诊为肝内胆管结石、急性胆管炎、胆囊结石,于是接受了胆囊切除手术和胆管取石手术,手术后患者发烧和肚子痛消停了。但是,周某在45岁时又开始出现了寒战、发烧、肚子痛,检查发现肝内胆管结石复发,右边的肝脏因为结石堵塞而萎缩,因此接受了萎缩肝叶切除手术和胆管取石手术。在55岁时结石又一次复发,周某又接受了胆肠吻合术和胆管取石手术。在58岁时因胆汁淤积性肝硬化导致呕血和脾大,周某做了脾切除手术和血管断流手术。综上所述,周某因为肝内胆管结石已经做了4次手术,肚子上的手术切口瘢痕纵横交错,不堪入目。
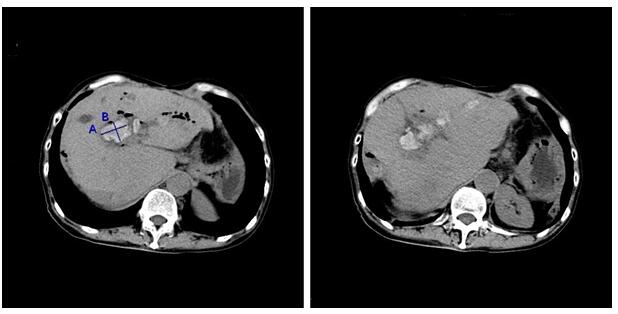
更不幸的是,今年年初,周某复查发现肝内胆管结石又复发了。周某采用保守消炎治疗,短短半年时间,反复寒战,发烧,肚子痛5次,并且眼睛和皮肤越来越黄。为求治疗收入我院。入院后完善腹部CT检查,发现周某肝内胆管又长了许多结石,主要集中在肝门胆肠吻合口附近和左边肝内胆管,导致肝内胆管明显扩张(见图1)。当我们和周某商量下一步治疗方案的时候,周某说自己做了4次开刀手术,非常惧怕再次开刀。我们深表同情,有没有办法不开刀,肚子上打个小洞就能取出肝内胆管的结石呢?

图1患者术前CT检查。肝内胆管多发结石(已标记),最大直径约3厘米,肝内胆管扩张和积气。
办法是有的,那就是经皮经肝胆道镜取石术(PTCS,percutaneous transhepatic cholangioscopic )。经皮经肝胆道镜取石PTCS手术始于上世纪八十年代,传统做法是在B超引导下经皮经肝穿刺胆管(PTCD),术后每周扩张一次穿刺窦道,术后1月用纤维胆道软镜取石。传统做法的缺点是治疗周期较长,需要多次扩张窦道,病人痛苦;另外,纤维胆道软镜直径5毫米,无法取出细胆管内的结石。
我院在PTCS传统做法的基础上加以改进,先行PTCD胆道引流控制胆管炎,术后1-2周,待患者炎症消退,一般情况恢复后,在全身麻醉下直接扩张瘘道至足够大小,放一个塑料吸管(保护性鞘管)到肝内胆管,先用直径3毫米的硬质胆道镜(不能拐弯)尽量取出细胆管内的结石,再用5毫米的纤维胆道软镜(可以拐弯)取角度刁钻的结石。这种做法缩短了治疗周期,创伤小、恢复快,减轻病人的痛苦。肚子上打了个5毫米的小洞,通过改进后的经皮经肝胆道镜取石PTCS手术,周某的肝内胆管结石被完全取尽(见图2)。患者没有再寒战、发烧、肚子痛,眼睛和皮肤黄疸也消退了,术后顺利康复出院。

图2患者术后CT检查。肝内胆管未见结石,肝内胆管有一直径约5毫米的引流管用于术后引流胆汁,引流管在出院前拔除。
肝胆外科
服务热线
服务热线
版权所有: 重庆医科大学附属第二医院 | Copyright @ 2016-2026 CQSAHCQMU.CN All Right Reserved. 渝ICP备15009793号-10 渝公网安备 50010302000990号
技术支持:瑞秀科技
