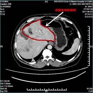
近日,由肝胆外科微创外科团队完成的首例肝癌行ALPPS手术患者回到科室开始第一次TACE治疗。该患者因肝癌误诊为血管瘤未及时治疗(肿瘤已几乎占据右侧肝脏中部),1个月前抱侥幸的希望来到二院肝胆外科就诊。要想得到根治,该患者需要切除右侧半肝。但术前CT检查发现,患者有乙肝肝硬化及脂肪肝的疾病基础,左肝很小,切除右肝后有发生肝衰竭的可能性极大,按照传统治疗方法该患者已丧失手术机会。
在龚建平主任的大力支持下,刘作金教授带领微创外科团队,决定采用目前最先进的ALPPS手术方式解决该难题:也即一期腹腔镜下结扎右侧门静脉,沿左右半肝缺血线劈开左、右侧半肝;待第一次手术后三周,左侧肝脏明显增生后,再次手术切除右侧半肝。
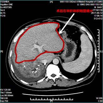
经充分准备后,治疗小组顺利实施该手术,患者按预期安全度过围手术期。本次复查CT显示,左半肝明显增大,且无肿瘤复发征相。显然ALPPS手术方式为部分不能耐受大范围肝脏切除的患者提供了生存的机会,而腹腔镜技术则通过微创化极大的减轻了患者对两次手术的恐惧,极具推广价值。不过,要在腹腔镜下完成不离断肝蒂的原位半肝劈离,难度远超过腹腔镜右半肝切除术,需要极其娴熟的腔镜肝切除经验与技术。该例患者的顺利恢复,标志着在全院领导、相关处室同事的大力支持下,我院肝胆微创外科团队经近两年的不懈努力,其技术水平已逐渐成熟。


服务热线
服务热线
版权所有: 重庆医科大学附属第二医院 | Copyright @ 2016-2026 CQSAHCQMU.CN All Right Reserved. 渝ICP备15009793号-10 渝公网安备 50010302000990号
技术支持:瑞秀科技
