黄某,农村小孩,经过十多年苦读,终于成长为一名优秀的刑事警察,娶妻生子,父母健在,妻女齐全,生活惬意舒适,享天伦之乐。作为全家唯一的脊梁骨,此刻也正是奋斗的好时机。
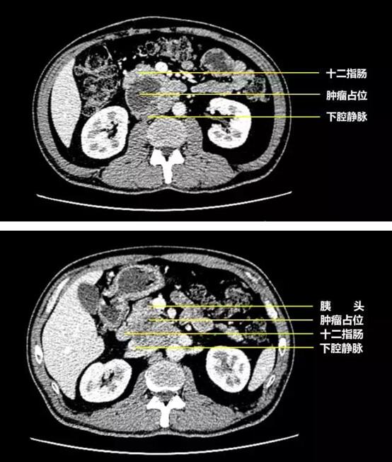
然而天有不测风云,人有旦夕祸福。年仅56岁的黄某,于数天前参加单位体检,得到一份腹部CT报告示: 腹腔内覆膜后间隙见一团块状混杂密度肿块影,与胰腺头部分界欠清,大小约48*77mm,边界清晰,其内见分隔,增强后分隔及实性部分明显强化,胰管未见明显扩张;下腔静脉受压与肿块分界不清,胰头及十二指肠动静脉向前推移,被诊断为患“巨大异位副神经节瘤”,这对于一个家里主要的经济来源的壮年来说,无疑是晴天霹雳。因病情十分复杂,转辗多家医院,众多大型医院著名专家们都说肿瘤巨大侵犯了人体最重要的四根血管已无法切除。
经过朋友介绍,他们了解到重医附二院肝胆外科刘作金主任上月刚好做了附近部位的一个副神经节瘤,对此类罕见肿瘤的处理积累了经验。抱着试一试的心态他们找到刘作金教授,拿到这个片子,肝胆外科全体教授积极展开讨论,并利用3D可视技术作了充分评估后,觉得利用血管切除重建方式,还是有切除可能。
经过详细的术前评估、积极的术前准备,于2016年6月14日手术,术中探查发现肿瘤位于胰头后方,大小约7X5cm;其右前方为十二指肠、正前方为胰头、左前方为肠系膜上动脉,肿瘤向后压迫下腔静脉、左肾静脉,并向后伸入腹主动脉与下腔静脉之间的间隙,与左肾静脉及右肾动脉密切粘连,肿瘤左后方为腹主动脉。
经过4小时,终于分离处十二指肠、胰头与肿瘤之间的间隙,暴露肿瘤,细致分离,仔细解剖,将肿瘤从下腔静脉、左肾静脉、右肾动脉及腹主动脉等大血管之间完整剥离。接下来就是做最重要的肿瘤切除了,然而刚一碰到肿瘤,意外情况出现了!!收缩压狂飙到270mmHg!表明这,还是个极其罕见的巨大异位副神经节瘤。这就要求在这个血管丛生的区域,必须采用尽量不触及肿瘤的前提下,将其切除,才能确保患者的安全。这种感觉对于操作医生来说,就像拆弹专家拆除很多导线的定时炸弹一样。
庆幸的是,刘作金教授在此之前做了很多胰腺十二脂肠切除,尤其是多例腔镜下的胰腺十二指肠切除,对该区域的解剖了然于胸。在数次湿透了手术衣后,安全切除了这个巨大异位副神经节瘤!






服务热线
服务热线
版权所有: 重庆医科大学附属第二医院 | Copyright @ 2016-2026 CQSAHCQMU.CN All Right Reserved. 渝ICP备15009793号-10 渝公网安备 50010302000990号
技术支持:瑞秀科技
