
2018年5月29日上午9点,国家督导三级医院对口帮扶贫困县县级医院和贫困人口大病专项救治工作汇报会在重医附二院石柱分院(石柱县人民医院)

2018年5月25日中午,门诊支部在门诊办公室开展主题党日活动,由支部书记阳文琳主持,活动的主题是带领支部党员同志一起学习《重庆市献血条

为了深入贯彻国家的分级诊疗方针,造福广大区县慢性肝病患者,由重庆市中西医结合学会肝病专委会主办的“2018慢性肝病治疗新进展学术会议”

“臣闻问道者更正,闻道者更容“语出《晏子春秋》,其意是指询问的人会将自己要走的路改成正确的,而听见问询的人会因听到而改变。重医二院

5月23日,我院团委与腾讯大渝网联合策划的第16期“青翼助飞”志愿服务来到了四川外国语大学南方外国语学院站开展心肺复苏急救培训。我院护

2018年5月25日,重庆市第三期康复专科护士培训班结业典礼在统战部7楼举行。重医附二院研究生管理处处长杜之渝教授,康复医学科主任虞乐华教

我院作为中华医学会消化内镜分会食管胃静脉曲张诊治规范基地,中华医学会消化内镜学会食管胃静脉曲张诊治学组副组长单位,重庆市医学会消化

近年来生殖医学已成为日趋成熟的新兴学科,依傍这门学科,生殖健康护理专业亦得到了快速发展,取得了一定的进步。然而,我市作为我国西南地

在世界炎症性肠病日即将来临之际,我院消化内科每年一次的患教会于5月17日在渝中区新华路201号联合国际大厦3楼千品百味花园餐厅举行,“世

一方有难,八方支援。2012年的一场意外导致在泌尿外科住院的曹冯双下肢活动障碍,进而感觉消失,大小便失禁,下半身截瘫,2015年妻子又离婚

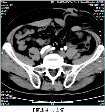
日前,重庆医科大学附属第二医院血管疝腹壁外科成功为一名结肠造口旁疝的患者实施了全腹腔镜下造口旁疝补片修补术,该术式为我院首例。患者

“一下、两下、三下……二六、二七、二八、二九、三十。”5月18日下午2点,从重庆钢城实验学校多媒体教室传来非常有节奏感的数拍的声音。为

为贯彻落实4月24日市卫生计生委扶贫集团召开的2018年扶贫集团工作会议精神,我院党委书记王大刚、医务处张荣贵、对外办负责人一行四人于5月

5月18日,我院护理部举行了第四届护理青年教师英文讲课比赛决赛,护理部主任甘秀妮教授、教务处王羽副处长、妇产科刘建教授、手术室助理护

为加强学科之间交流与合作,妇产科常淑芳教授邀请美国俄亥俄州立大学徐晓嵘教授(Ronald X Xu)一行于5月18日来我院进行学术交流。18日

2018年5月18日上午重医附二院肥胖及相关代谢性疾病多学科团队成功举办了“全民营养周-我们在行动”大型公益义诊讲座活动。本次义诊活动由

2018年5月11-13日,由中国肝炎防治基金会、中华肝脏病杂志编辑部、临床肝胆病杂志编辑部、《肝脏》杂志编辑部和Editorial Office of Jour

您知道 “宽仁医院”么,故事从介绍1892年“宽仁医院”的成立开始,那是重医附二院的前身,那您知道5 12的来历么?“5 12”国际护

根据《重庆市红十字会关于开展纪念“五 八”世界红十字日暨2018年红十字博爱周活动的通知》(渝红会【2018】34号)文件要求在全市范围内开

大学生正处于青春情感萌动期,在情感发展中学会如何爱自己爱他人显得非常重要。为关爱学生心理健康,减少学生在情感方面的迷茫与困惑,
服务热线
服务热线
版权所有: 重庆医科大学附属第二医院 | Copyright @ 2016-2026 CQSAHCQMU.CN All Right Reserved. 渝ICP备15009793号-10 渝公网安备 50010302000990号
技术支持:瑞秀科技