
乳腺癌是中国女性发病率最高的癌症。长期以来,切除乳房似乎是治疗女性乳腺癌的常规方式。全切“保命”还是局切“保乳”,成了很多女性的艰...

全麻手术后,因气管插管出现的咽喉灼热、疼痛等不适症状,很多患者都有切身体会。随着窒息氧合技术的发展,如今新的麻醉技术——经鼻湿化快...

开栏语:身体不适该看哪个科室?专家什么时候出诊?今年3月,重医附二院“宽仁惠民健康行动”拉开帷幕,在长达9个月的活动中,来自该院的九...
华龙网-新重庆客户端5月31日14时讯 “热!热得很!”前几个月,当大多数人还需要穿薄外套的时候,27岁的小伙周扬(化名)却热得想“光膀子...

生活中,有些家长认为自己的宝宝还很小,看起来很健康,和同龄的宝宝比起来也没什么区别,所以不需要做儿保。另外一些家长习惯带宝宝去诊所...

[重医二院·聚焦砥柱]编者按:年资高、经验丰富、妙手仁心……在重医附二院里,有这样一群老专家,他们医术精湛,在20、30年的临床中,积...

[重医二院·聚焦砥柱]编者按:年资高、经验丰富、妙手仁心……在重医附二院里,有这样一群老专家,他们医术精湛,在20、30年的临床中,积...

华龙网-新重庆客户端5月17日9时讯 5月13日-16日,2021年中国脑卒中大会在北京国家会议中心举行。会议上,重医附二院被国家卫健委脑卒中防...

[重医二院•聚焦新星]编者按:“爱上这份职业不知是从哪一刻开始,是从那一句‘健康所系,性命相托’开始,是从第一次得到病人的赞同开始...

重庆高楼林立,重庆夜景华丽,重庆医护人员温情暖心……重庆给68岁的黑龙江患者张士诚(化名)留下的印象,将可能是终身难忘。本来是想到重...

华龙网-新重庆客户端5月7日14时讯 随着社会的进步、经济的发展,儿童的健康成长伴随着众多的家庭,在这过程中也会存在这样那样的问题。为...

华龙网-新重庆客户端5月6日16时讯 睾丸肿瘤是泌尿生殖系肿瘤的一种,较为少见,好发于中青年男性,占所有男性肿瘤的1%,泌尿系肿瘤的5%。...

2021年4月29日,由中共重庆市委组织部、重庆市人力资源和社会保障局、共青团重庆市委员会联合授予10名同志2021年“重庆青年五四奖章”。前...

2021年4月29日,团中央下发《共青团中央关于表彰“全国五四红旗团委(团支部)”“全国优秀共青团员”“全国优秀共青团干部”的决定》,重...

在众多手术中,“切阑尾”恐怕是人们最熟悉的一种了。的确,开腹治疗阑尾炎已经有一百多年的历史,早已成为治疗阑尾炎的经典术式,即使随着...

华龙网-新重庆客户端4月29日17时讯“这下感觉整个人都轻松了!”近日,重医附二院江南院区泌尿外科,50岁女士刘云(化名)顺利出院,离开前...

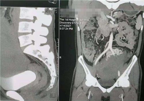
华龙网-新重庆客户端4月21日17时讯 一边吃火锅一边喝啤酒、常常不吃早餐饮食不规律、认为自己还年轻身体扛得住……你是否也有这样的情况?...

近日,由重庆医科大学第二临床学院教师牵头指导的重医代表队晋级第十届中国大学生医学技术技能大赛临床医学专业五年制赛道全国总决赛。第十...

“10年了,四肢麻木终于得到缓解,踩在地上跟踩棉花一样的感觉也在慢慢消退。”日前,58岁的大连患者朱明(化名)在重医附二院急救部做了“...

编者按:自1892年起,重庆医科大学附属第二医院已走过129年的风雨历程。这129年,是砥砺风雨的创业史,更是薪火相传、不懈追求的奋斗史。回...
服务热线
服务热线
版权所有: 重庆医科大学附属第二医院 | Copyright @ 2016-2026 CQSAHCQMU.CN All Right Reserved. 渝ICP备15009793号-10 渝公网安备 50010302000990号
技术支持:瑞秀科技