
近期,为持续纠治医疗服务领域的不正之风,围绕影响群众看病就医感受的突出行风问题,坚持“管行业必须管行风”“谁主管谁负责”的工作原则,持续规范医务人员执业行为,严肃查处侵犯群众就医合法权益的违法违规行为

喜大普奔!近日,重医附二院坐落于江南院区科教楼的线下实体院史馆有了新动作、新举措。作为百年历史文化的主要阵地之一,为高效运作院史馆,极致发挥其传承文化、以文育人功能,重医附二院党委面向全体教职员工、社

作为重庆市三级甲等医院首个成立的创面修复专业的临床学科,2023年3月14日,重医附二院急救部正式推出创面修复门诊,未来每周二上午在渝中院区魁星楼9楼9-10室,将为急、慢性伤口患者提供更便捷、优质的

3月10日上午,为验收重庆市国家信息平台上线质量,了解我院国家医保编码的贯彻执行情况,国家医保局规财法规司副司长谢章澍一行到我院江南院区开展现场调研工作,重庆市医疗保障局二级巡视员程晓斌、智慧医保实验

多项医疗技术开创先河,特色品牌学科建设成效显著,贴心优质服务温暖病患……伴随公立医院高质量发展的春风,重庆医科大学附属第二医院(以下简称“重医附二院”)正向着打造重庆领先、西部前列、全国一流名院的目标

2月26日,由中国生物信息学学会(筹)、广东省科技基础条件平台中心指导,深圳国家基因库、鹏城实验室、深圳华大生命科学研究院主办的2022『猛犸杯』国际组学数据创新大赛决赛在广州顺利举办。该比赛于去年6

为进一步促进学术交流,提高我市皮肤科医师的临床诊治水平,由重庆市医师协会主办,重庆市医师协会皮肤科医师分会、重庆医科大学附属第二医院联合承办的“皮肤疾病专题学术系列交流会(宽仁皮肤论坛)”于2023年

免疫疗法是通过刺激机体的免疫系统,抑制和杀伤肿瘤细胞。程序性细胞死亡受体-1(PD-1)/程序性细胞死亡配体-1(PD-L1)的免疫检查点阻断治疗在临床肿瘤免疫治疗中展现出巨大的前景,但肿瘤免疫抑制微

建功新时代,奋进新征程。1月18日,我院在江南院区宽仁会议中心召开2022年工作总结交流暨表彰会,回顾总结2022年度的工作,谋划部署今年重点工作任务,表彰先进处(科)室和优秀个人,动员全院上下进一步

针对新冠病人感染期间及康复期中出现的各种营养问题,促进新冠病人更快更好的恢复,重庆医科大学附属第二医院临床营养科的新冠营养门诊拟在2023年2月3日开诊。我们会全面评估病人的营养状况后,根据患者的基础
为全面总结2022年工作、谋划2023年部署,全面评价职能干部履职尽责、工作实绩,全力抓紧抓实干部队伍能力锻炼,牢牢把握医院高质量发展主线,2023年1月4日,我院在江南院区宽仁会议中心召开2022年

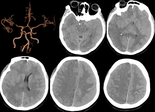
喜得贵子,这本是一件让人高兴的事,可万万没想到,生产当天,产妇竟然出现脑梗。近日,重医附二院神经外科、重症医学科共同协作,紧急救治一名产后大面积脑梗患者。医生提醒,产褥期的女性,血液处于高凝状态,容易

2022年12月2日,医院党委召开党委(扩大)会议,传达学习贯彻市委常委关于“不断优化完善疫情防控工作举措,尽快有序恢复正常生产生活秩序”会议精神,听取当前医教研工作要点,研究部署有序恢复医疗重点工作

2022年11月26-27日,由我院皮肤科主持召开的首届中国西部毛发医学高峰论坛暨毛发疾病诊断与治疗操作培训班在线上顺利举行。本次会议由重庆市医学会、中华医学皮肤性病学分会毛发学组、中国康复医学会皮肤

毛发疾病是一种高发病,严重影响人们的外貌、心理和社会交往。在我国,仅男性雄激素性秃发的患病率即高达21.3%,女性达5.6%,全国总患病人口近2亿,重庆市近400万。同时,与毛发直接相关的头皮疾病在健

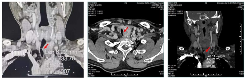
57岁的患者曹先生(化名)是身强力壮的务工人员,近期反复咳嗽,且偶伴痰中带血。曹先生并不以为意,觉得拖一拖也许就好了,在家人的多番催促下才到医院检查。“不查不知道,一查吓一跳”,当地医生告诉他初步诊断

新冠疫情来势汹汹,整个城市按下暂停键。然而疾病的发生率并没有因为疫情肆虐而降低。在这特殊时期,重医附二院神经外科救治急危重症患者的脚步一刻也没有停歇,生死交织的序曲每天都在上演。患者重度昏迷 命悬一线

美国肝脏研究协会(AASLD)年会是全球肝脏病学领域规模最大且最具影响力的三大会议之一。当地时间2022年11月4-8日,2022年美国肝病学会(AASLD)年会盛大召开。重庆医科大学附属第二医院感染

随着社会人口老龄化,老年性痴呆已不仅仅是一个医学难题,甚至已成为一个被大众广泛关注的社会问题。阿尔茨海默病(AD)是导致老年人发生痴呆的首要病因,据“阿尔茨海默病全球报告(2018)”报道,全球每3秒

(一)2022年世界镇痛日主题发布会暨国家疼痛专业质控大会金秋十月,迎来第19个“世界镇痛日”和“中国镇痛周”。10月16日上午,世界镇痛日主题发布会暨国家疼痛专业质控大会•疼痛专科医联体大会•中日医
服务热线
服务热线
版权所有: 重庆医科大学附属第二医院 | Copyright @ 2016-2026 CQSAHCQMU.CN All Right Reserved. 渝ICP备15009793号-10 渝公网安备 50010302000990号
技术支持:瑞秀科技